Messaggeri Segreti dai Denti: La Nuova Frontiera della Rigenerazione con le Vescicole Extracellulari!
Ciao a tutti, appassionati di scienza e curiosi! Oggi voglio parlarvi di qualcosa di veramente affascinante che sta succedendo nel mondo dell’odontoiatria, qualcosa che potrebbe cambiare il modo in cui pensiamo alla guarigione dei nostri denti. Immaginate delle minuscole “capsule” prodotte dalle cellule stesse della polpa dentale, capaci di orchestrare processi di riparazione e rigenerazione. Sembra fantascienza? Beh, tenetevi forte, perché è proprio quello che abbiamo studiato!
Nel nostro laboratorio, ci siamo immersi nel mondo delle cellule della polpa dentale (DPCs) e, più specificamente, delle piccole vescicole extracellulari (sEVs) che queste cellule rilasciano. Queste sEVs sono come dei postini super efficienti: trasportano molecole bioattive da una cellula all’altra, influenzandone il comportamento. Hanno già dimostrato di avere capacità immunomodulatorie, anti-infiammatorie e di ripristino delle funzioni tissutali. Insomma, un vero tesoro per la medicina rigenerativa, soprattutto per il complesso dentina-polpa o addirittura per la rigenerazione dell’intera polpa.
Cosa ci siamo chiesti?
La domanda che ci ha tormentato era: queste DPCs-sEVs possono davvero fare la differenza per le cellule della polpa dentale? E come si confrontano con un materiale già noto e utilizzato in odontoiatria, l’aggregato triossido minerale (MTA), spesso usato per l’incappucciamento diretto della polpa? Volevamo vedere l’effetto sulla velocità di proliferazione delle cellule, sulla loro capacità di migrare (essenziale per la riparazione) e sull’espressione di geni chiave per la formazione di osso e dentina.
Come abbiamo fatto? Un’avventura in laboratorio!
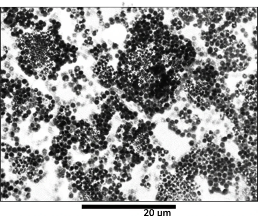
Per prima cosa, abbiamo isolato le DPCs-sEVs dagli incisivi di ratti (sì, i nostri piccoli amici pelosi ci danno una grossa mano nella ricerca!) usando una tecnica chiamata ultracentrifugazione. Poi, come dei veri detective, abbiamo analizzato queste vescicole:
- Caratterizzazione immunofenotipica con citometria a flusso (FC)
- Morfologia e dimensione con microscopia elettronica a trasmissione (TEM) e analisi del tracciamento nanoparticellare (NTA)
- Concentrazione proteica con il saggio dell’acido bicinconinico (BCA)
- Conferma dei marcatori specifici delle sEVs (TSG101, CD63, sintenina) con Western blotting.
Una volta sicuri di avere tra le mani delle sEVs “autentiche” e di qualità, abbiamo preparato le nostre colture di cellule della polpa dentale (DPCs). Le abbiamo divise in quattro gruppi:
- Gruppo I (Controllo): cellule lasciate tranquille, senza trattamenti.
- Gruppo II: cellule trattate con 50 µg/mL di DPCs-sEVs.
- Gruppo III: cellule trattate con 0.2 mg/mL di estratto di MTA.
- Gruppo IV: cellule trattate con una combinazione di DPCs-sEVs (50 µg/mL) ed estratto di MTA (0.2 mg/mL).
E poi? Via con i test! Abbiamo usato il saggio MTT per valutare la proliferazione cellulare, un saggio transwell per la migrazione e la PCR real-time per vedere quali geni si “accendevano”. L’obiettivo era capire se la nostra ipotesi nulla (cioè che non ci fosse differenza tra i trattamenti) fosse vera o se, al contrario, ci fosse un’alternativa più promettente.

I Risultati: Una Sorpresa Rigenerativa!
E qui viene il bello! Le DPCs-sEVs hanno effettivamente aumentato la proliferazione delle cellule della polpa dentale, e l’MTA ha potenziato questo effetto. Il gruppo che ha ricevuto la combinazione di DPCs-sEVs e MTA ha mostrato una vitalità e una capacità proliferativa significativamente più alte rispetto agli altri gruppi, sia dopo 7 che dopo 14 giorni. Pensate, dopo 14 giorni, la proliferazione nel gruppo combinato era quasi il quintuplo rispetto al controllo!
Cellule in Movimento: La Migrazione
La capacità delle cellule di migrare verso un sito danneggiato è cruciale per la riparazione. Anche qui, i risultati sono stati illuminanti. La migrazione cellulare è stata più evidente nel gruppo trattato con l’estratto di MTA rispetto a quello trattato solo con le DPCs-sEVs. Ma indovinate un po’? Le cellule trattate con la combinazione di DPCs-sEVs ed estratto di MTA hanno mostrato un aumento significativo della capacità di migrazione rispetto a tutti gli altri. Erano quasi il doppio più “mobili” rispetto al gruppo di controllo!
Accendere i Geni Giusti: L’Espressione Genica
Ma non è finita qui. Volevamo vedere se questi trattamenti spingessero le cellule a diventare delle vere e proprie “fabbriche” di dentina. Abbiamo analizzato l’espressione di geni specifici coinvolti nella formazione di osso e dentina:
- Dspp (Dentin Sialophosphoprotein): un marcatore specifico degli odontoblasti.
- Ocn (Osteocalcina): coinvolta nella mineralizzazione.
- Col1 (Collagene di tipo I): una proteina strutturale fondamentale.
- Runx2 (Runt-related transcription factor 2): un fattore di trascrizione chiave per lo sviluppo osseo e dentale.
Ebbene, il gruppo che ha ricevuto la combinazione di DPCs-sEVs e MTA ha mostrato la maggiore espressione di tutti e quattro questi geni! In particolare, l’espressione di Dspp e Col1 è schizzata alle stelle con la combinazione, suggerendo una potente spinta verso la differenziazione odontogenica. L’MTA da solo ha mostrato una buona capacità di stimolare Ocn e Runx2, ma le sEVs, soprattutto in combinazione, hanno dato una marcia in più, specialmente per Dspp e Col1.

Cosa significa tutto questo? Verso una Nuova Endodonzia Rigenerativa
I nostri risultati ci dicono chiaramente che l’ipotesi nulla (nessuna differenza) va respinta. C’è una differenza, eccome! L’MTA è un buon materiale, ma l’aggiunta delle DPCs-sEVs sembra potenziarne gli effetti in modo significativo. Queste piccole vescicole non sono solo biocompatibili, ma promuovono attivamente la proliferazione, la migrazione e la specializzazione delle cellule della polpa dentale.
L’idea di utilizzare le sEVs in endodonzia rigenerativa è incredibilmente promettente. A differenza delle terapie basate su cellule intere, le sEVs offrono vantaggi come una minore immunogenicità, una maggiore stabilità e una facilità di conservazione e standardizzazione. Sono, in pratica, una terapia “cell-free” che sfrutta la potenza rigenerativa delle cellule staminali senza i loro potenziali svantaggi.
Pensate alle implicazioni cliniche: in caso di esposizione accidentale della polpa, potremmo usare le DPCs-sEVs, magari prima dell’applicazione dell’MTA, per “preparare il terreno” e spingere la guarigione verso una vera rigenerazione. La combinazione MTA/sEVs potrebbe diventare uno strumento potentissimo per l’endodonzia rigenerativa, aiutandoci a preservare la vitalità dei denti più a lungo e in modo più efficace.
Certo, questo è uno studio in vitro, e il prossimo passo sarà validare questi risultati in vivo, per confermare l’effetto biologico, la biocompatibilità, l’azione anti-infiammatoria e la formazione di ponti dentinali. Ma la strada è tracciata, e la prospettiva di avere a disposizione materiali per l’incappucciamento pulpare che non solo sigillano, ma attivamente promuovono la rigenerazione, è davvero entusiasmante.
Quindi, la prossima volta che sentirete parlare di vescicole extracellulari, non pensate a qualcosa di astruso, ma a dei piccoli, potentissimi alleati per la salute dei nostri denti. La ricerca non si ferma, e chissà quali altre meraviglie ci riserverà il futuro della medicina rigenerativa!
Fonte: Springer
