Vasa Corona: Il Mistero di uno Pseudoaneurisma Raro Risolto in Sala Operatoria
Ciao a tutti! Oggi voglio parlarvi di qualcosa di veramente insolito, un caso medico che ci ricorda quanto sia complesso e affascinante il corpo umano, specialmente il sistema nervoso e i suoi vasi sanguigni. Immaginate una rete intricatissima di piccole arterie che avvolgono il midollo spinale come una corona: ecco, quella è la vasa corona. Normalmente, non ne sentiamo parlare molto, ma quando qualcosa va storto lì, le conseguenze possono essere serie.
Un Mal di Testa Improvviso: L’Inizio del Viaggio
Tutto inizia con una donna di 51 anni, senza particolari problemi di salute pregressi. Un giorno, all’improvviso, viene colpita da un forte mal di testa e vomito. Si reca in un ospedale dove le viene diagnosticata un’emorragia subaracnoidea (SAH). Si tratta di un sanguinamento nello spazio che circonda il cervello (e in questo caso, anche il midollo spinale), una condizione potenzialmente molto grave. Viene quindi trasferita nel nostro centro.
Al suo arrivo, fortunatamente, è cosciente e non presenta deficit neurologici evidenti. La tomografia computerizzata (TC) conferma l’emorragia, che si estende dalle cisterne basilari fino a quelle midollari. La situazione è seria, ma la paziente è stabile.
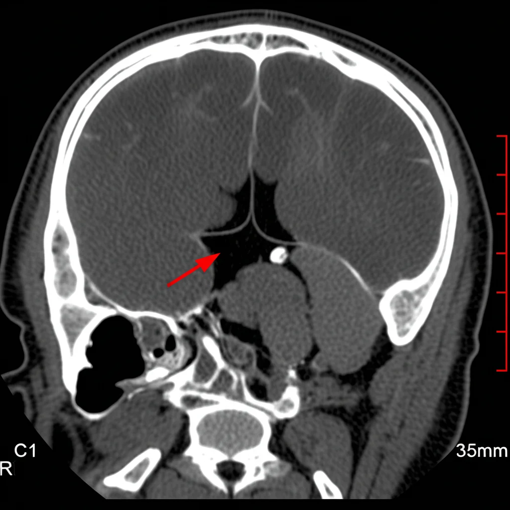
La Caccia al Colpevole: Un Lavoro da Detective
Quando c’è un’emorragia subaracnoidea, la prima cosa che noi medici facciamo è cercare la causa. Spesso si tratta di un aneurisma cerebrale rotto. Eseguiamo quindi un’angio-TC (CTA), un esame che visualizza i vasi sanguigni. Ed ecco la prima sorpresa: l’esame individua un minuscolo punto di contrasto sulla superficie anteriore sinistra del midollo spinale, all’altezza della prima vertebra cervicale (C1). Il sospetto cade su una piccola anomalia vascolare, come un aneurisma o uno pseudoaneurisma. Curiosamente, le arterie principali della zona, come l’arteria vertebrale (VA) e l’arteria cerebellare postero-inferiore (PICA), appaiono del tutto normali, senza stenosi, occlusioni o altre anomalie evidenti.

Ma le sorprese non finiscono qui. Il giorno dopo, eseguiamo un’angiografia cerebrale più dettagliata, iniettando il mezzo di contrasto direttamente nell’arteria vertebrale sinistra. Risultato? La piccola lesione vista alla CTA sembra scomparsa! L’ipotesi è che si sia trombizzata, cioè che si sia formato un piccolo coagulo al suo interno che l’ha temporaneamente “chiusa”. Decidiamo quindi di monitorare la paziente e gestire eventuali complicanze come il vasospasmo, in attesa di capire meglio.
Passano circa due settimane. Ripetiamo l’angiografia. Ed eccola lì: la struttura simile a un microaneurisma, proprio dove l’avevamo vista inizialmente con la CTA, è di nuovo visibile! Utilizzando una tecnica avanzata chiamata Cone Beam CT, riusciamo a identificare i vasi “madre” di questa piccola sacca: si tratta delle arterie radicolomidollare e radicolopiale, rami appunto della vasa corona. La diagnosi preoperatoria diventa quindi: aneurisma della vasa corona.
La Soluzione Chirurgica: Un Intervento Delicato
A questo punto, dobbiamo decidere come intervenire. Le opzioni sono solitamente due: trattamento endovascolare (passando con piccoli cateteri dall’interno dei vasi) o chirurgia diretta (“a cielo aperto”). In casi simili descritti in letteratura, spesso associati ad anomalie della PICA che causavano una dilatazione dell’arteria spinale anteriore (ASA), si era optato per la via endovascolare. Ma nel nostro caso, non c’erano anomalie della PICA né dilatazioni dell’ASA che facilitassero l’accesso con i cateteri. Inoltre, la lesione era molto piccola e superficiale sul midollo.

Decidiamo quindi per la chirurgia diretta. Eseguiamo una craniectomia suboccipitale sinistra e una laminectomia di C1 (in pratica, apriamo una piccola finestra ossea alla base del cranio e sulla prima vertebra cervicale per accedere all’area). Con l’aiuto del microscopio operatorio, identifichiamo la piccola struttura anomala, che appare come una piccola sacca pulsante connessa all’arteria radicolomidollare. Posizioniamo una minuscola clip metallica per chiudere l’aneurisma alla base, escludendolo dalla circolazione. Successivamente, coaguliamo e resecchiamo (rimuoviamo) i piccoli vasi coinvolti.
La Conferma Istologica: Non un Aneurisma, ma uno Pseudoaneurisma
Il tessuto rimosso viene inviato in laboratorio per l’analisi istologica. Il risultato è fondamentale: non si trattava di un vero aneurisma (una dilatazione con tutte le pareti del vaso integre), ma di uno pseudoaneurisma. Questo significa che la parete del vaso si era rotta e il sangue era fuoriuscito, venendo contenuto dai tessuti circostanti, formando una sorta di “falsa” sacca aneurismatica. L’esame mostrava piccoli vasi muscolari, trombi, tessuto di granulazione (segno di riparazione) e un trombo ricanalizzato. Questa scoperta suggerisce che la causa potrebbe essere stata una dissezione (una lacerazione della parete interna del vaso) seguita da una dilatazione.
Un Caso Unico e Cosa Ci Insegna
La paziente ha avuto un decorso post-operatorio eccellente ed è stata dimessa in ottime condizioni. Questo caso è estremamente interessante per diversi motivi:
- È il primo caso descritto di pseudoaneurisma rotto della vasa corona senza anomalie anatomiche associate dell’arteria vertebrale o della PICA.
- È il primo caso di questo tipo trattato con successo tramite chirurgia diretta, dimostrando che questa è un’opzione valida ed efficace quando l’approccio endovascolare è difficoltoso.
- Sottolinea l’importanza di considerare anche cause molto rare di emorragia subaracnoidea, come le lesioni della vasa corona, anche in assenza di altri reperti angiografici anomali.
Certo, parliamo di condizioni rarissime. Nella letteratura medica, si contano sulle dita di poche mani i casi di aneurismi o pseudoaneurismi rotti della vasa corona o dell’arteria spinale laterale (LSA) senza malformazioni artero-venose associate. Molti di questi erano legati a problemi delle arterie maggiori (VA o PICA) che causavano stress emodinamico sui piccoli vasi. Il nostro caso, invece, sembra avere un’origine diversa, forse appunto una dissezione spontanea.
In conclusione, anche se rari, gli pseudoaneurismi della vasa corona sono una causa potenziale di SAH che dobbiamo saper riconoscere. È necessaria un’indagine diagnostica approfondita e, come dimostra questo caso, la chirurgia diretta può rappresentare una soluzione efficace, specialmente quando le condizioni anatomiche rendono complesso l’approccio endovascolare. Un’altra piccola vittoria della medicina e della chirurgia!
Fonte: Springer
