Rituximab: Quando l’Anticorpo Miracoloso Provoca la Malattia da Siero – Un Caso Inaspettato
Ciao a tutti! Oggi voglio parlarvi di una storia clinica affascinante e un po’ intricata che ci ricorda come anche i farmaci più innovativi possano nascondere delle insidie. Parliamo di Rituximab, un nome che forse avrete sentito nominare nel campo delle malattie autoimmuni o di certi tipi di tumore. È un anticorpo monoclonale, una specie di “proiettile magico” progettato per colpire selettivamente le cellule B del nostro sistema immunitario, quelle che a volte impazziscono e causano problemi. Ma cosa succede quando questo proiettile, invece di colpire solo il bersaglio, scatena una reazione inaspettata?
La Malattia da Siero: Un Effetto Collaterale da Non Sottovalutare
Avete mai sentito parlare della malattia da siero? È una reazione un po’ bizzarra del nostro sistema immunitario, tecnicamente una “ipersensibilità di tipo III”. In pratica, a volte, dopo l’esposizione a sostanze estranee come vaccini, anti-veleni o, appunto, farmaci come gli anticorpi monoclonali, il nostro corpo produce anticorpi che si legano a queste sostanze formando dei “complessi immuni”. Normalmente, questi complessi vengono spazzati via senza problemi dai nostri “netturbini” cellulari, i fagociti. Ma se il sistema di pulizia è sovraccarico o non funziona a dovere, questi complessi si accumulano nei tessuti (come pelle, articolazioni, reni) e scatenano un’infiammazione.
Il Rituximab, purtroppo, è uno dei farmaci noti per poter causare una forma specifica di questa reazione, chiamata malattia da siero indotta da Rituximab (RISS, dall’inglese Rituximab-Induced Serum Sickness). Questa si manifesta tipicamente 1-2 settimane dopo l’infusione con una triade di sintomi: febbre, eruzione cutanea (rash) e dolori articolari (poliartralgia). È più comune nei pazienti con malattie reumatologiche preesistenti.
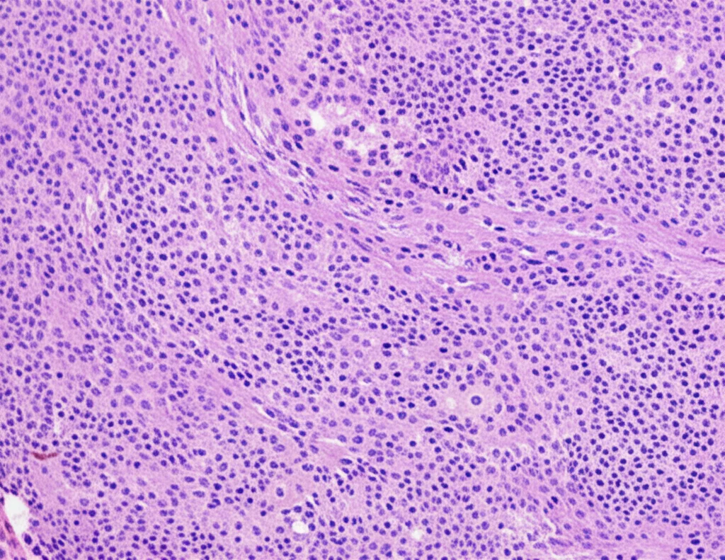
Un Caso Clinico Particolare: RISS in una Malattia Rara
Ed è qui che entra in gioco la nostra storia. Vi presento il caso di una donna messicano-americana di 34 anni. La sua storia medica era già complessa: soffriva di glomerulosclerosi focale segmentale (FSGS), una malattia renale, gestita con ciclosporina e prednisone a basso dosaggio. Inoltre, da circa 5 anni, presentava un ingrossamento persistente dei linfonodi del collo e sottomandibolari (linfoadenopatia cronica).
Dopo vari accertamenti, una biopsia di un linfonodo ha rivelato una condizione chiamata trasformazione progressiva dei centri germinativi (PTGC) associata a un aumento dell’espressione di IgG4. Questa combinazione ha portato alla diagnosi di una forma particolare di malattia correlata alle IgG4 (IgG4-RD). Le malattie IgG4-RD sono un gruppo di disturbi fibroinfiammatori che possono colpire diversi organi, caratterizzati dall’accumulo di plasmacellule che producono un tipo specifico di anticorpi, le IgG4.
Dato che la linfoadenopatia era sintomatica (causava fastidio), si è deciso di iniziare un trattamento con Rituximab, considerato promettente per le IgG4-RD. Le prime due infusioni sono andate lisce, senza problemi. Ma il giorno dopo la terza infusione, la situazione è cambiata drasticamente.

La paziente ha iniziato a lamentare dolori diffusi a braccia, petto e schiena (mialgie), dolori articolari (artralgie) e, soprattutto, un’eruzione cutanea pruriginosa, rossa e a macchie sul viso. Gli esami del sangue hanno mostrato un aumento degli indici infiammatori (VES e PCR), una lieve anemia e bassi livelli di albumina. Le analisi delle urine hanno rivelato proteinuria (proteine nelle urine) e una lieve ematuria (sangue nelle urine). Il giorno successivo, sono comparsi anche dolore e intorpidimento alle mani, con un rash eritematoso e dolente sul palmo della mano sinistra.
Diagnosi e Risoluzione
Il quadro clinico, insorto così rapidamente dopo l’infusione di Rituximab, ha fatto subito pensare alla malattia da siero indotta dal farmaco (RISS). È interessante notare come i sintomi siano comparsi molto prima delle classiche 1-2 settimane. La paziente è stata trattata con un ciclo di prednisone a scalare (un corticosteroide per spegnere l’infiammazione) e antistaminici al bisogno per il prurito. Fortunatamente, al controllo dopo una settimana, tutti i sintomi erano completamente scomparsi. Ovviamente, le future infusioni di Rituximab sono state annullate per evitare ricadute. A distanza di 9 mesi, la linfoadenopatia correlata alla malattia IgG4-RD era stabile, senza necessità di ulteriori trattamenti.
Cosa Impariamo da Questo Caso?
Questo caso è significativo per diversi motivi:
- È il primo caso documentato di malattia da siero indotta da Rituximab in un paziente con malattia correlata alle IgG4. Finora, la RISS era associata principalmente a malattie autoimmuni classiche.
- Sottolinea l’importanza di considerare la RISS come possibile diagnosi differenziale quando un paziente sviluppa sintomi sistemici aspecifici (dolori, malessere) e manifestazioni cutanee dopo aver iniziato una terapia con anticorpi monoclonali, anche se la malattia di base non è tipicamente reumatologica.
- Evidenzia una presentazione insolita della malattia IgG4-RD (la PTGC è più comune negli uomini anziani) e il fatto che il trattamento con Rituximab, sebbene efficace, comporta dei rischi da monitorare attentamente.
- Mostra un esordio molto rapido della RISS (solo 1 giorno dopo l’infusione), nonostante la paziente non avesse i fattori di rischio noti per questa complicanza, come ipergammaglobulinemia (alti livelli di anticorpi nel sangue) o deficit del complemento (proteine del sistema immunitario).

Gestione delle Malattie IgG4-RD e Rischi del Rituximab
Il trattamento standard per le malattie IgG4-RD prevede inizialmente alte dosi di glucocorticoidi (come il prednisone), da ridurre gradualmente. Tuttavia, questi farmaci spesso non bastano per un controllo a lungo termine. Per questo, si ricorre ad alternative come Rituximab, azatioprina o micofenolato. Il Rituximab è spesso preferito per la sua maggiore efficacia, specialmente in pazienti giovani o con malattia sintomatica di lunga data, proprio come nel nostro caso.
Prima di iniziare il Rituximab, è fondamentale valutare i fattori di rischio per la RISS, come dosaggio elevato, età avanzata e ipergammaglobulinemia. Questo caso ci insegna che la RISS può verificarsi anche in contesti diversi da quelli reumatologici e in assenza di fattori di rischio evidenti.
In conclusione, questa storia ci ricorda l’importanza della vigilanza. Anche quando usiamo farmaci mirati e potenti come il Rituximab, dobbiamo monitorare attentamente i pazienti per identificare prontamente eventuali reazioni avverse. La malattia da siero è una possibilità concreta, e riconoscerla subito è cruciale per interrompere il farmaco scatenante e gestire i sintomi, prevenendo complicazioni. Sebbene alcuni studi suggeriscano che, con cautela e premedicazione con steroidi, si possa ritentare il trattamento con Rituximab dopo una RISS, la sospensione rimane la scelta più sicura nella maggior parte dei casi.
Fonte: Springer
