Pneumotorace Iperteso Ritardato: L’Inaspettata Complicanza Dopo un’Artroscopia di Spalla
Ciao a tutti! Oggi voglio parlarvi di qualcosa di veramente insolito, un caso medico che ci ricorda come anche le procedure chirurgiche più rodate possano riservare sorprese. Parliamo di artroscopia della spalla, un intervento ormai comune per riparare, ad esempio, la cuffia dei rotatori. Sembra routine, vero? Eppure, immaginate la sorpresa quando, due giorni dopo un’operazione del genere, una paziente sviluppa una condizione potenzialmente letale: un pneumotorace iperteso ritardato. Sembra fantascienza, ma è successo davvero.
Un Caso Clinico Inaspettato
Vi presento la nostra protagonista involontaria: una donna di 68 anni, attiva nonostante una storia di ipertensione e diabete ben controllati. Soffriva da sei mesi di dolore alla spalla sinistra con limitazione dei movimenti. Gli esami, inclusa una risonanza magnetica, non lasciavano dubbi: lesione del muscolo sovraspinato e problemi alla cuffia dei rotatori. La soluzione? Un intervento in artroscopia per riparare il danno e liberare la capsula articolare.
L’operazione va liscia come l’olio. Anestesia generale preceduta da un blocco del plesso brachiale (un’anestesia locale mirata ai nervi del braccio e della spalla), intervento in posizione laterale, riparazione eseguita con successo. La paziente si sveglia bene, i parametri vitali sono stabili, e torna tranquillamente in reparto. Tutto sembra procedere per il meglio.
Ma ecco che arriva il colpo di scena. Due giorni dopo l’intervento, nel primo pomeriggio, la situazione precipita. La signora inizia ad avere una grave difficoltà respiratoria (dispnea), suda copiosamente, appare sofferente. Le viene subito somministrato ossigeno con la maschera, si tenta di aspirare eventuali secrezioni, ma la sua saturazione di ossigeno (SPO2) crolla vertiginosamente, scendendo fino al 60%, poi addirittura sotto. Diventa letargica. Nonostante la ventilazione assistita con pallone Ambu, la saturazione non risale. È un’emergenza assoluta.

Viene chiamata d’urgenza la terapia intensiva. La paziente viene intubata per garantirle la respirazione e i suoi parametri vitali finalmente si stabilizzano. Ma cosa è successo?
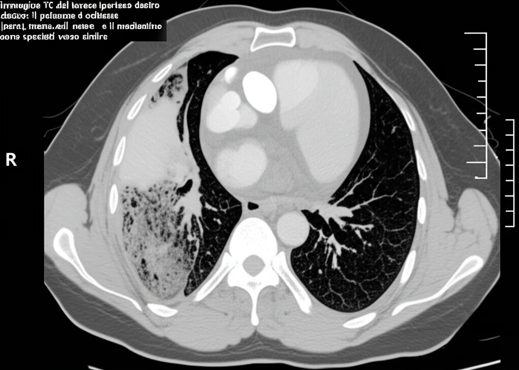
La Diagnosi: Un Nemico Nascosto
Il mattino seguente, durante il giro visite, un esame fisico più attento rivela qualcosa di strano: il torace appare gonfio, più largo del normale. Alla percussione del lato destro del torace si sente un suono timpanico, come un tamburo, e all’auscultazione non si percepisce alcun rumore respiratorio da quel lato. Il sospetto diventa quasi una certezza: pneumotorace iperteso.
Ma cos’è esattamente? Immaginate che l’aria entri nello spazio tra il polmone e la parete toracica (la cavità pleurica) e non riesca più a uscire. Si crea una sorta di valvola unidirezionale. L’aria si accumula, la pressione aumenta a dismisura, schiacciando il polmone e spostando cuore e grossi vasi sanguigni (mediastino) verso il lato opposto. Questo compromette gravemente la respirazione e la circolazione sanguigna. È una condizione gravissima che, se non trattata immediatamente, porta alla morte.
Di solito, il pneumotorace iperteso è legato a malattie polmonari preesistenti (come BPCO, tubercolosi, fibrosi polmonare) o a traumi toracici. Vederlo comparire *dopo* un’artroscopia di spalla, e per di più *due giorni dopo*, è estremamente raro. La paziente non aveva malattie polmonari note, non fumava, e la sua TAC toracica pre-operatoria era perfettamente normale.
Una TAC d’urgenza conferma la diagnosi: il polmone destro è quasi completamente collassato a causa dell’aria intrappolata.
L’Intervento Salvavita e la Lenta Ripresa
La diagnosi richiede un intervento immediato. Un chirurgo toracico esegue un drenaggio toracico chiuso: inserisce un ago grosso nel terzo spazio intercostale destro, sulla linea medioclavicolare, per far uscire l’aria in eccesso e far riespandere il polmone. La procedura è rapida e, dopo circa 15 minuti, viene posizionato un tubo di drenaggio toracico. I sintomi della paziente migliorano quasi subito.
Nei giorni successivi, la situazione migliora costantemente. Dopo due giorni, una nuova TAC mostra il polmone destro tornato quasi alla normalità. L’enfisema sottocutaneo (aria intrappolata sotto la pelle, un altro segno della complicanza) scompare nel giro di una settimana.
La cosa più incredibile? Sei mesi dopo, la paziente sta benissimo. Nessun disturbo polmonare residuo e ha ripreso completamente le sue attività, tornando al livello atletico che aveva prima dell’infortunio alla spalla. Un lieto fine per una storia che poteva finire molto diversamente.

Ma Perché è Successo? Le Ipotesi sul Tavolo
Questa è la domanda da un milione di dollari. Come può un intervento alla spalla causare un pneumotorace, per di più ritardato? Le cause non sono chiare, ma ci sono diverse ipotesi:
- Il blocco nervoso: Prima dell’anestesia generale, è stato eseguito un blocco del plesso brachiale per via interscalenica, guidato da ecografia. Sebbene l’ecografia riduca i rischi, non li elimina del tutto. È possibile che l’ago abbia accidentalmente punto la pleura (la membrana che riveste i polmoni) o direttamente il polmone, creando una piccola perdita d’aria. Questa è considerata la causa iatrogena (causata da un atto medico) più probabile, anche se l’insorgenza ritardata è atipica (di solito, un pneumotorace da puntura si manifesta prima). Forse si è formata una piccola lesione che ha iniziato a perdere aria lentamente, trasformandosi in un meccanismo a valvola solo dopo due giorni, magari a seguito di un colpo di tosse.
- Pressione durante l’artroscopia: Durante l’artroscopia, si usa un flusso di liquido per distendere l’articolazione e talvolta strumenti con aspirazione. Si ipotizza che variazioni di pressione nello spazio sottoacromiale (dove si lavora) possano spingere aria nei tessuti profondi del collo e del torace, fino al mediastino. Se la pleura mediastinica si rompe, ecco che si può avere enfisema mediastinico e pneumotorace. Tuttavia, nel nostro caso, l’intervento sottoacromiale è stato breve (30 minuti) e non c’erano segni di gonfiore toracico il giorno dopo.
- Posizione del paziente: Alcuni studi hanno collegato il pneumotorace alla posizione “beach chair” (semi-seduta) usata in artroscopia, ipotizzando che crei una pressione negativa che “risucchia” aria. Ma la nostra paziente era in posizione laterale, e non ci sono prove definitive che una posizione sia più rischiosa dell’altra per questa specifica complicanza.
- Lesione da trocar: È possibile ledere la pleura inserendo gli strumenti (trocar) attraverso le porte di accesso chirurgico, specialmente quella anteriore-inferiore. Ma una revisione del video dell’intervento non ha mostrato manovre rischiose.
- Ventilazione meccanica: L’anestesia generale con ventilazione a pressione positiva potrebbe, in teoria, rompere una bolla polmonare preesistente (bolla enfisematosa). Ma la TAC pre-operatoria non ne aveva mostrate.
- Lesione ritardata da intubazione: Un’ipotesi molto remota è che l’intubazione tracheale possa causare una piccola lesione che va in necrosi e si rompe dopo qualche giorno, creando una fistola.
Nonostante l’incertezza sulla causa esatta, il sospetto principale ricade sulla possibile, involontaria puntura pleurica durante il blocco nervoso, con uno sviluppo lento e insidioso del pneumotorace.

Cosa Impariamo da Questo Caso?
Questo caso, seppur rarissimo, ci insegna alcune cose fondamentali:
1. Mai abbassare la guardia: Anche dopo interventi considerati a basso rischio, possono verificarsi complicanze gravi e inaspettate.
2. Vigilanza post-operatoria: Una comparsa improvvisa di difficoltà respiratorie dopo un’artroscopia di spalla deve far scattare un campanello d’allarme. Non bisogna sottovalutarla.
3. Diagnosi tempestiva: Un esame fisico accurato (percussione, auscultazione) e, in caso di sospetto, una rapida conferma con imaging (come la TAC toracica) sono cruciali.
4. Considerare le cause iatrogene: Bisogna sempre pensare alla possibilità che la complicanza sia legata a una delle procedure eseguite (blocco nervoso, posizionamento, gestione delle pressioni intra-articolari).
Per ridurre al minimo questi rischi, seppur rari, si suggerisce:
- Valutare attentamente la TAC polmonare pre-operatoria per escludere fattori di rischio (bolle, malattie polmonari).
- Massima attenzione durante l’esecuzione del blocco nervoso, anche se eco-guidato.
- Accuratezza nel posizionamento dei trocar chirurgici.
- Gestire attentamente le pressioni del fluido di irrigazione durante l’intervento.
- Monitorare attentamente il paziente nel post-operatorio, specialmente se manifesta sintomi respiratori.
In conclusione, l’artroscopia di spalla rimane una tecnica sicura ed efficace. Complicanze come il pneumotorace iperteso sono eventi eccezionali, ma la loro potenziale gravità impone a chirurghi e anestesisti di essere sempre preparati a riconoscerle e trattarle tempestivamente. E, naturalmente, i pazienti devono essere informati anche di queste possibilità remote. La storia della nostra paziente, fortunatamente a lieto fine, ce lo ricorda potentemente.
Fonte: Springer
