DICER1 e Tumori Rari dell’Ovaio: Quando la Genetica Svela Nuovi Scenari Clinici
Ciao a tutti! Oggi voglio portarvi con me in un viaggio affascinante nel mondo della ricerca oncologica, parlando di tumori piuttosto rari ma che ci insegnano tantissimo: i tumori a cellule di Sertoli-Leydig (SLCT) dell’ovaio. So che il nome suona complicato, ma fidatevi, la storia che raccontano è davvero interessante, soprattutto quando entra in gioco la genetica.
Un Tumore Raro ma Significativo: Cos’è l’SLCT?
Immaginate un tipo di tumore ovarico così raro da rappresentare meno dello 0.5% di tutti i tumori dell’ovaio. Questi sono gli SLCT. Fanno parte della famiglia dei tumori dei cordoni sessuali-stromali e la loro particolarità sta nella grande varietà con cui si presentano, sia dal punto di vista clinico che istologico (cioè, come appaiono al microscopio). A volte causano sintomi legati agli ormoni maschili (virilizzazione), altre volte sintomi più generici come masse addominali. Questa variabilità li rende spesso una sfida diagnostica. Tradizionalmente, li classifichiamo in base al grado di differenziazione delle cellule tumorali e alla presenza di certi pattern specifici.
Il Gene DICER1: Un Protagonista Inatteso
Negli ultimi anni, la ricerca ha acceso i riflettori su un gene in particolare: DICER1. Questo gene è fondamentale perché gioca un ruolo chiave nel processamento dei microRNA, piccole molecole che regolano l’espressione di molti altri geni. Pensate a DICER1 come a un “regista” molecolare. Quando questo gene subisce delle mutazioni specifiche, dette “hotspot” (cioè in punti ben precisi della sua sequenza), il processo di regolazione va in tilt, e questo può favorire lo sviluppo di tumori, inclusi gli SLCT. Non è un caso isolato: mutazioni in DICER1 sono state trovate in diversi tipi di cancro. La cosa intrigante è che gli SLCT con mutazioni di DICER1 sembrano avere caratteristiche proprie, diverse da quelli senza mutazioni. Ed è proprio qui che si concentra la nostra ricerca: capire come queste mutazioni influenzino il tumore.
La Nostra Indagine: Confronto tra SLCT Mutati e Non Mutati
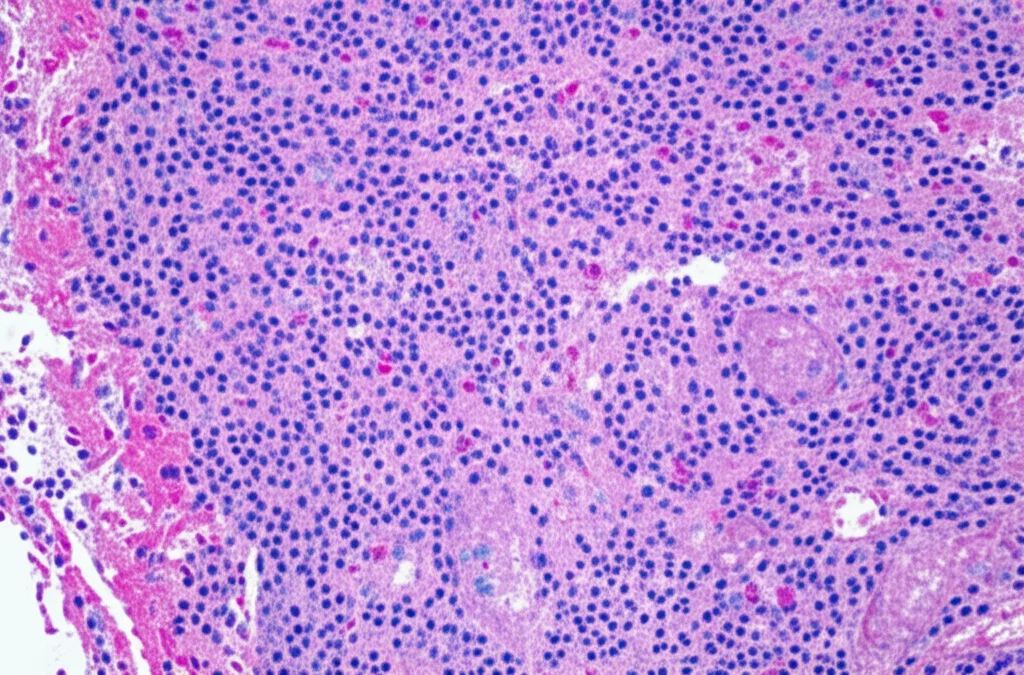
Per capirci di più, abbiamo condotto uno studio retrospettivo, andando a “rivedere” i casi di 50 pazienti con diagnosi di SLCT seguiti presso il Peking Union Medical College Hospital tra il 1994 e il 2022. Abbiamo analizzato il DNA estratto dai tessuti tumorali (conservati in paraffina) per cercare specificamente le mutazioni hotspot nel gene DICER1, usando la tecnica del sequenziamento Sanger. Parallelamente, abbiamo raccolto tutte le informazioni cliniche disponibili: età delle pazienti alla diagnosi, sintomi, stadio del tumore secondo la classificazione FIGO, decorso della malattia (follow-up), eventuali recidive. Ovviamente, abbiamo riesaminato attentamente anche le caratteristiche patologiche dei tumori al microscopio: grado di differenziazione (ben differenziato, intermedio, scarsamente differenziato), pattern di crescita, presenza di particolari strutture come quelle retiformi, aspetto dello stroma (il tessuto di supporto), presenza di emorragie, numero di mitosi (indice di proliferazione cellulare) e l’indice Ki-67 (un altro marcatore di proliferazione). Abbiamo anche guardato l’infiltrato infiammatorio, in particolare le cellule T (CD3+) e B (CD20+), e l’espressione di PD-L1, un marcatore legato alla risposta immunitaria.

Risultati Sorprendenti: Due Facce dello Stesso Tumore?
E qui arrivano i risultati più succosi! Su 50 casi analizzati con successo, 15 (il 30%) presentavano mutazioni hotspot di DICER1. La prima scoperta fondamentale è stata questa: le mutazioni di DICER1 si trovano esclusivamente nei tumori a differenziazione intermedia o scarsa (ne abbiamo trovate nel 35.7% di questi), mentre nessuno dei tumori ben differenziati le presentava. Questo rafforza l’idea, già proposta da altri ricercatori, che gli SLCT ben differenziati e quelli meno differenziati potrebbero essere due entità biologicamente distinte, con origini diverse.
Ma le differenze non finiscono qui. Analizzando i 42 casi con differenziazione intermedia/scarsa, abbiamo confrontato i 15 con mutazione DICER1 (gruppo mutante) con i 27 senza mutazione (gruppo wild-type). Ecco cosa è emerso:
- Età d’insorgenza: Le pazienti con mutazione DICER1 erano significativamente più giovani al momento della diagnosi. L’età mediana nel gruppo mutante era di soli 17 anni, contro i 42 anni del gruppo wild-type. Questo suggerisce un legame forte tra la mutazione e l’insorgenza precoce del tumore.
- Morfologia al microscopio: I tumori mutanti mostravano più frequentemente caratteristiche specifiche:
- Componenti retiformi (un pattern che ricorda una rete): presenti nel 40% dei casi mutanti, 0% nei wild-type.
- Disposizione a cordoni o nastri: 33.3% nei mutanti vs 7.4% nei wild-type.
- Stroma mucinoso edematoso (un aspetto “gelatinoso” del tessuto di supporto): 80% nei mutanti.
- Emorragie diffuse: 80% nei mutanti.
- Attività proliferativa: I tumori mutanti sembravano “correre” di più. Avevano un numero medio di mitosi più alto (11 contro 6 per campo ad alta potenza) e un indice Ki-67 mediano nettamente superiore (16.1% contro 6.9%).
- Microambiente immunitario: Abbiamo notato una maggiore presenza di cellule B (CD20-positive), spesso raggruppate attorno ai vasi sanguigni, nei tumori mutanti (66.7% dei casi). Questo potrebbe indicare un microambiente immunitario più attivo o comunque diverso in presenza della mutazione.
- Comportamento clinico: Qui le notizie sono meno buone per il gruppo mutante. Questi tumori erano più inclini alla rottura (46.7% vs 11.1% nei wild-type). E, dato forse più importante, tutte e tre le recidive osservate nel nostro gruppo di studio si sono verificate in pazienti con la mutazione DICER1. L’analisi della sopravvivenza libera da progressione (PFS) ha mostrato una differenza statisticamente significativa, indicando una prognosi peggiore per il gruppo mutante.

Cosa Significa Tutto Questo? L’Importanza del Test Genetico
Questi risultati ci dicono chiaramente che gli SLCT con mutazione DICER1 e quelli senza sono diversi, non solo al microscopio ma anche nel loro comportamento clinico e nella prognosi. La presenza della mutazione sembra associata a:
- Insorgenza in età più giovane.
- Caratteristiche morfologiche specifiche.
- Maggiore attività proliferativa.
- Un microambiente immunitario potenzialmente più reattivo (ma questo aspetto richiede ulteriori studi).
- Un rischio più elevato di rottura del tumore e di recidiva.
Tutto ciò sottolinea quanto sia cruciale integrare l’analisi genetica, in particolare la ricerca delle mutazioni hotspot di DICER1, nella diagnosi e nella valutazione prognostica degli SLCT, specialmente per quelli a differenziazione intermedia o scarsa. Sapere se la mutazione è presente o meno può aiutare i medici a definire meglio il rischio per la paziente e a pianificare un follow-up più mirato e, in futuro, forse anche terapie personalizzate.
Uno Sguardo al Futuro
Il nostro studio, sebbene basato su un numero limitato di casi (data la rarità del tumore), apre nuove strade. C’è bisogno di studi più ampi per confermare questi dati e per capire ancora meglio come le diverse mutazioni di DICER1 influenzino esattamente il processamento dei microRNA e quali siano i bersagli a valle. Indagare più a fondo il microambiente immunitario e il suo ruolo nella progressione del tumore, soprattutto nei casi mutati, potrebbe rivelare nuove vulnerabilità da colpire con terapie specifiche.
In conclusione, la storia degli SLCT e del gene DICER1 è un esempio perfetto di come la genetica stia rivoluzionando la nostra comprensione dei tumori, anche di quelli più rari. Ogni nuova scoperta ci avvicina a una gestione sempre più personalizzata e, speriamo, efficace di queste malattie.
Fonte: Springer
