Iniezione Shenfu: Un Raggio di Speranza dalla Cina Contro i Danni al Fegato da Sepsi
Ciao a tutti! Oggi voglio parlarvi di un argomento tosto, la sepsi, ma anche di una potenziale luce in fondo al tunnel che arriva dalla Medicina Tradizionale Cinese (MTC). Parliamo di come un preparato chiamato Iniezione Shenfu (SFI) stia mostrando risultati davvero incoraggianti nel proteggere il fegato durante questa condizione critica.
Cos’è la Sepsi e Perché il Fegato è a Rischio?
La sepsi non è uno scherzo. È una risposta esagerata e disfunzionale del nostro sistema immunitario a un’infezione. Pensate a un esercito che, nel tentativo di difendere il castello, finisce per danneggiarlo gravemente. Ecco, la sepsi fa qualcosa di simile ai nostri organi. Con oltre 18 milioni di casi all’anno nel mondo, è una delle principali cause di morte nei reparti di terapia intensiva.
Uno degli organi più colpiti? Proprio il fegato. Quest’organo incredibile è fondamentale per l’equilibrio immunitario e metabolico. Durante la sepsi, però, diventa un bersaglio per fattori infiammatori, agenti patogeni e persino micro-trombi. Quando il fegato va in tilt (disfunzione epatica), si innesca una spirale pericolosa: più infiammazione, problemi di coagulazione e, alla fine, un effetto domino che può portare alla sindrome da disfunzione multiorgano (MODS) e, purtroppo, spesso alla morte. Ad oggi, non ci sono cure specifiche super efficaci per questo danno epatico da sepsi, quindi la ricerca è fondamentale.
Entra in Scena l’Iniezione Shenfu (SFI)
Ed è qui che entra in gioco l’SFI. Non è una novità dell’ultima ora, anzi! È un’iniezione approvata in Cina nel 1987, derivata da un antico decotto della MTC chiamato “Shenfu Decoction”, composto principalmente da Panax ginseng (il famoso Ginseng) e Aconitum carmichaelii. Pensate, oltre 30 anni di utilizzo clinico!
I suoi componenti attivi principali sono alcaloidi dell’aconito e ginsenosidi (come Rg1, Re, Rb1, ecc.), ma contiene anche acidi organici, aminoacidi e altro. La MTC la usa per “ristabilire la circolazione” e alleviare danni, ad esempio, al cuore durante la sepsi. Studi moderni hanno confermato che può migliorare la sopravvivenza nello shock settico, ridurre la durata della ventilazione meccanica e potenziare l’immunità cellulare. Insomma, sembra fare un sacco di cose buone, soprattutto agendo su più fronti contro l’infiammazione, in particolare inibendo un percorso molecolare chiave chiamato NF-κB. Ma che effetto ha specificamente sul fegato danneggiato dalla sepsi? Fino ad ora, non era chiarissimo.
Lo Studio: SFI alla Prova sui Topolini Settici
Per capirlo meglio, un gruppo di ricercatori ha condotto uno studio (pubblicato su Springer Nature, trovate il link alla fine!) utilizzando un modello animale ben consolidato. Hanno preso dei topolini maschi C57BL/6 e hanno indotto in loro una condizione simile alla sepsi con danno epatico iniettando lipopolisaccaride (LPS), un componente della parete cellulare di alcuni batteri che scatena una forte risposta infiammatoria.
Un’ora prima dell’LPS, ad alcuni gruppi di topi è stata somministrata l’SFI a diverse dosi (bassa, media, alta), mentre un gruppo ha ricevuto solo LPS (gruppo modello) e uno solo soluzione salina (gruppo controllo). Dopo 3 giorni di trattamento, i ricercatori hanno analizzato il sangue e il tessuto epatico dei topi per vedere cosa fosse successo.

Risultati Sorprendenti: SFI Protegge il Fegato!
E i risultati? Davvero notevoli! Vediamoli punto per punto:
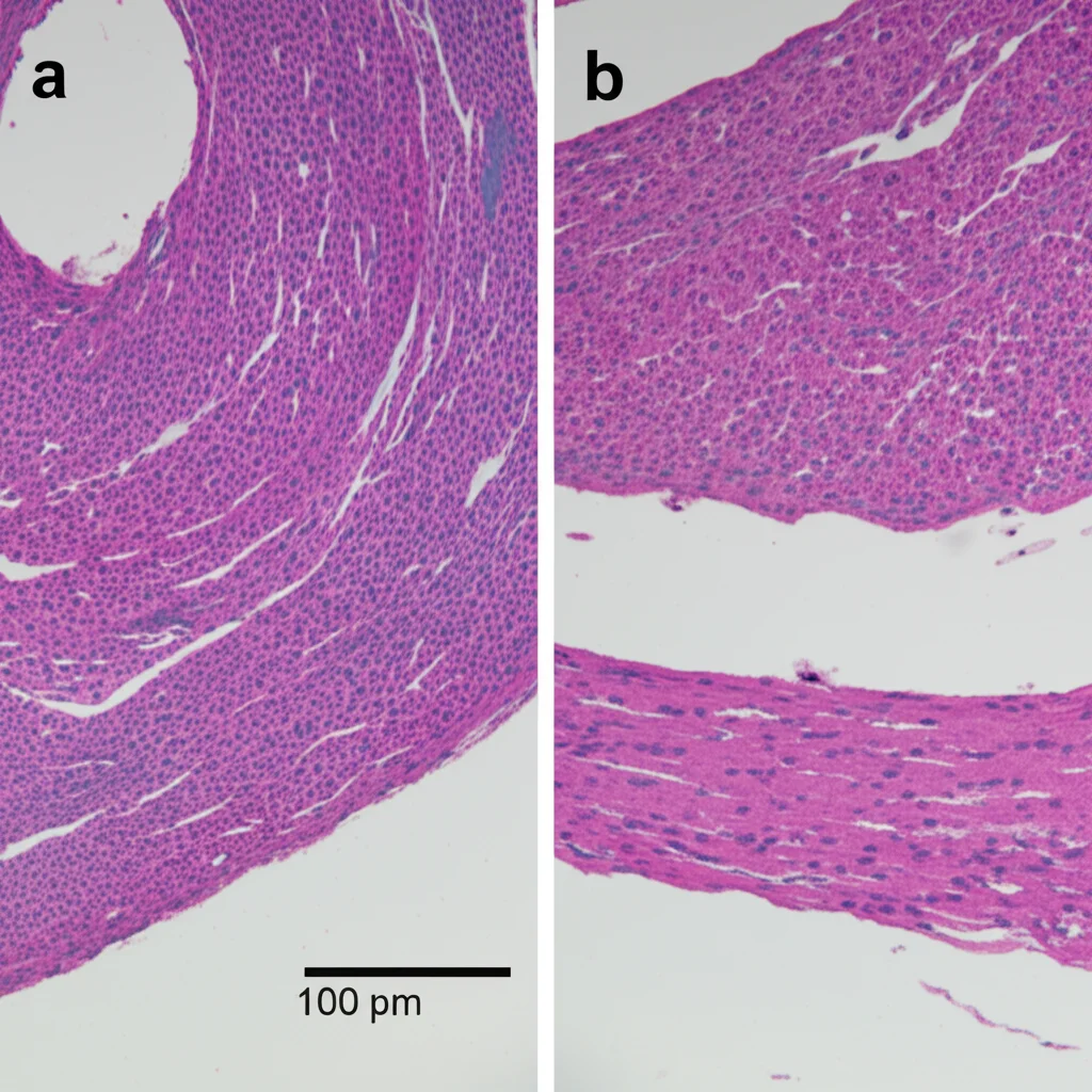
- Miglior Sopravvivenza e Meno Danno Visibile: I topi trattati con SFI avevano un tasso di sopravvivenza significativamente più alto! Inoltre, il loro rapporto peso fegato/peso corporeo era ridotto (un fegato infiammato e danneggiato tende a gonfiarsi), e l’aspetto del fegato era più sano rispetto ai topi che avevano ricevuto solo LPS. L’analisi al microscopio (istopatologia) ha confermato: nel gruppo LPS c’era un disastro (infiltrazione infiammatoria, edema, perdita della struttura), mentre nei gruppi SFI, specialmente a dose alta, il danno era molto più contenuto.
- Meno Morte Cellulare (Apoptosi): La sepsi induce le cellule del fegato a “suicidarsi” (apoptosi). Usando una tecnica chiamata TUNEL, i ricercatori hanno visto molte più cellule apoptotiche nel gruppo LPS. L’SFI, invece, ha ridotto significativamente questo fenomeno. Anche i livelli delle proteine legate all’apoptosi (come BAX e caspasi-3 attivata, che promuovono la morte, e BCL-2, che la inibisce) sono stati riportati verso la normalità dall’SFI.
- Infiammazione Sotto Controllo: L’SFI ha fatto diminuire drasticamente i livelli di diverse “citochine infiammatorie” (molecole che alimentano l’infiammazione come IL-1β, IL-6, IL-18, IL-12, TNF-α) sia nel sangue che nel tessuto epatico, e questo effetto era dose-dipendente (più SFI, meno infiammazione).
- Funzionalità Epatica Migliorata: Gli esami del sangue hanno mostrato che i livelli degli enzimi indicatori di danno epatico (ALT, AST, LDH) e della mieloperossidasi (MPO, indice di infiltrazione di neutrofili) erano molto più bassi nei topi trattati con SFI. Anche i livelli di bilirubina (che aumentano quando il fegato non funziona bene) sono scesi. Tutti segni che l’SFI aiutava il fegato a funzionare meglio nonostante l’attacco dell’LPS.
Dentro le Cellule: Mitocondri e Vie di Segnalazione
Ma come fa l’SFI a fare tutto questo? I ricercatori sono andati più a fondo.
- Salute dei Mitocondri: I mitocondri sono le “centrali energetiche” delle cellule. Nella sepsi, soffrono molto. Usando il microscopio elettronico a trasmissione (TEM), si è visto che nei topi con LPS i mitocondri erano gonfi, danneggiati, con le “creste” interne (dove avviene la magia energetica) distrutte. Nei topi trattati con SFI, invece, i mitocondri apparivano molto più sani e strutturati. Inoltre, l’SFI ha migliorato il potenziale di membrana mitocondriale (misurato con un test chiamato JC-1), un altro segno di buona salute mitocondriale.
- Il Percorso NF-κB: Vi ricordate quel percorso NF-κB che avevamo menzionato? È un interruttore molecolare cruciale per l’infiammazione e l’apoptosi. Normalmente è “spento” nel citoplasma, legato a una proteina chiamata IκB. Stimoli come l’LPS causano la fosforilazione (l’aggiunta di un gruppo fosfato, come un segnale di attivazione) e la degradazione di IκB. Questo libera NF-κB, che si sposta nel nucleo della cellula e “accende” i geni per le citochine infiammatorie. Bene, lo studio ha mostrato che l’LPS aumentava la fosforilazione sia di IκB che di NF-κB (in particolare della sua subunità p65) nel fegato. L’SFI, invece, riduceva questa fosforilazione in modo dose-dipendente e impediva a NF-κB p65 di entrare nel nucleo. In pratica, l’SFI spegneva questo interruttore pro-infiammatorio e pro-apoptotico!

Un Tocco sul Metabolismo: La Regolazione delle Purine
Non è finita qui. Il fegato è il re del metabolismo. Usando una tecnica chiamata “metabolomica non mirata”, i ricercatori hanno analizzato il profilo delle piccole molecole (metaboliti) nel fegato. Hanno scoperto che la sepsi indotta da LPS scombussolava parecchio il metabolismo epatico, in particolare quello delle purine (mattoncini fondamentali per DNA, RNA ed energia come l’ATP). Molecole come ADP, ADP-ribosio, ipoxantina, xantosina erano alterate. L’SFI, soprattutto ad alte dosi, riusciva a riportare questi livelli verso la normalità. Questo è importante perché le purine (come l’adenosina derivata dall’ATP) giocano un ruolo anche nella regolazione dell’infiammazione.
Cosa Ci Portiamo a Casa?
Questo studio, ragazzi, è davvero affascinante. Ci mostra, con metodi scientifici rigorosi, che l’Iniezione Shenfu, un rimedio che affonda le radici nella Medicina Tradizionale Cinese, ha un potenziale enorme nel proteggere il fegato durante la sepsi. Lo fa agendo su più fronti:
- Riduce l’infiammazione sistemica e locale.
- Contrasta la morte cellulare (apoptosi) degli epatociti.
- Protegge i mitocondri, le nostre centrali energetiche.
- Modula vie di segnalazione chiave come NF-κB.
- Regola il metabolismo epatico, in particolare quello delle purine.
Certo, come in ogni ricerca, ci sono dei limiti. Questo è uno studio su topi, e serviranno ulteriori conferme sull’uomo. Inoltre, bisognerebbe verificare se l’effetto su infiammazione e apoptosi sia direttamente e unicamente dovuto all’inibizione di NF-κB o se ci siano altri meccanismi coinvolti (come le vie MAPK o STAT, che i ricercatori stessi indicano come possibili studi futuri).
Ma la conclusione è forte e chiara: l’SFI sembra essere un candidato molto promettente come farmaco per trattare il danno epatico indotto dalla sepsi. È un esempio fantastico di come la saggezza antica della MTC possa essere validata e compresa attraverso la lente della scienza moderna, offrendo nuove speranze per affrontare condizioni mediche complesse e pericolose.
Fonte: Springer
