Geloni da Vaccino COVID in Clima Tropicale? Un Caso Che Fa Discutere!
Amici, preparatevi perché oggi vi racconto una storia che ha dell’incredibile, una di quelle che ci fa capire quanto ancora ci sia da scoprire sul nostro corpo e sulle sue reazioni, specialmente quando si parla di vaccini e del famigerato COVID-19. Immaginatevi i geloni: quelle fastidiose, a volte dolorose, macchioline rosse o violacee che spuntano su dita di mani e piedi. Di solito, li associamo al freddo pungente, all’umidità dell’inverno, giusto? Ecco, tenete a mente questa immagine, perché stiamo per fare un salto in un paese tropicale, la Thailandia, dove il freddo non è esattamente di casa.
Ebbene sì, recentemente è stato pubblicato un caso studio che ha attirato la mia attenzione: una donna thailandese di 35 anni che ha sviluppato lesioni del tutto simili ai geloni dopo aver ricevuto il vaccino anti-COVID-19 (nello specifico, il vaccino mRNA-1273). Una cosa già di per sé curiosa, dato che la maggior parte delle segnalazioni di “geloni da vaccino” proviene da paesi con climi temperati, come l’Europa o gli Stati Uniti. Ma qui la faccenda si fa ancora più intrigante.
Il Caso Thailandese: Quando i Geloni Sfuggono al Freddo
La nostra protagonista, una donna di 35 anni in buona salute, senza una storia pregressa di COVID-19 né, ovviamente, di esposizione a freddo e umidità tipici dei climi che favoriscono i geloni, si è presentata in ospedale il 4 dicembre 2021. Il motivo? Diverse papule rosse e dolorose spuntate su dita delle mani e dei piedi. Queste lesioni erano comparse circa 9 giorni dopo aver ricevuto la sua prima dose di vaccino mRNA-1273, il 19 novembre 2021. Non aveva assunto farmaci particolari né soffriva di altre patologie note in famiglia.
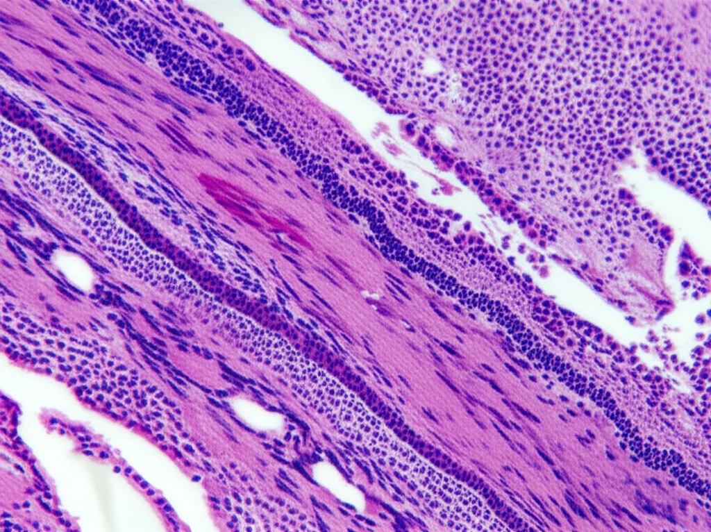
Inizialmente, i medici avevano pensato alla sindrome di Sweet, ma una biopsia cutanea ha tolto ogni dubbio: si trattava proprio di geloni. La cosa ancora più sorprendente è che le lesioni sono scomparse completamente senza alcun trattamento specifico. Tutto risolto? Nemmeno per sogno! Dopo aver ricevuto la seconda dose di vaccino, il 18 dicembre, ecco che le stesse identiche eruzioni cutanee sono ricomparse, nelle stesse zone. Un chiaro segnale che, in questo caso, il vaccino sembrava proprio essere il grilletto.
Cosa Dicono le Analisi? C’entra l’Anticoagulante Lupico?
Durante gli accertamenti, è emerso un dato interessante: la paziente è risultata positiva all’anticoagulante lupico. Tutti gli altri esami, inclusi quelli per gli anticorpi antinucleo, la velocità di eritrosedimentazione, la proteina C-reattiva e altri anticorpi antifosfolipidi, erano nella norma. Questo anticoagulante lupico è rimasto positivo anche a un controllo effettuato tre mesi dopo.
Ma cosa c’entra l’anticoagulante lupico con i geloni? Facciamo un passo indietro. I geloni, o eritema pernio, sono lesioni infiammatorie della pelle. Possono essere primari, cioè legati a una risposta anomala al freddo che causa una vasocostrizione eccessiva nelle zone periferiche del corpo, oppure secondari. I geloni secondari sono associati a diverse condizioni, tra cui malattie autoimmuni del tessuto connettivo, crioglobulinemia, sindrome da iperviscosità, sindrome da anticorpi antifosfolipidi (APS) e leucemia. E indovinate un po’? L’anticoagulante lupico è uno degli anticorpi che si ricercano per diagnosticare la sindrome da anticorpi antifosfolipidi.
Durante la pandemia di COVID-19, si è osservato un aumento dell’incidenza dei geloni sia in pazienti con l’infezione attiva sia, come in questo caso, dopo la vaccinazione. Sembra che ci sia un meccanismo comune che coinvolge la risposta immunitaria diretta contro l’RNA o la proteina Spike del virus. Questa risposta potrebbe innescare un’attivazione massiccia dell’interferone di tipo I.

L’interferone di tipo I è una potente molecola del nostro sistema immunitario, fondamentale per combattere le infezioni virali. Tuttavia, una sua attivazione eccessiva o sregolata può, da un lato, interferire con la tolleranza immunitaria (portando a risposte autoimmuni) e, dall’altro, inibire la via dell’ossido nitrico sintasi endoteliale. Quest’ultima azione potrebbe essere una delle cause del vasospasmo, cioè il restringimento dei vasi sanguigni, che sta alla base dei geloni.
Il Meccanismo d’Azione: Interferone e Risposta Immunitaria
La risposta immunitaria scatenata dal vaccino a mRNA contro il COVID-19, quindi, potrebbe essere simile a quella che si verifica dopo l’infezione naturale, e in entrambi i casi può portare alla comparsa dei geloni. Studi istopatologici su lesioni da geloni post-vaccino hanno mostrato alti livelli della proteina A di resistenza al mixovirus (MxA) nella pelle. Questa proteina è un marcatore dell’attivazione locale della via dell’interferone di tipo I, proprio come si osserva nei geloni associati all’infezione da COVID-19.
Nel caso della paziente thailandese, sebbene non fosse stata testata per il COVID-19 prima della comparsa dei geloni, ha negato qualsiasi sintomo riconducibile all’infezione. La ricomparsa delle lesioni dopo la seconda dose di vaccino ha ulteriormente confermato il ruolo del vaccino come fattore scatenante.
Anticoagulante Lupico: Preesistente o Scatenato dal Vaccino?
Ora, la domanda da un milione di dollari: l’anticoagulante lupico era già presente nella paziente, magari in forma silente, o è stato “svegliato” o addirittura prodotto ex novo in seguito alla vaccinazione? È difficile dirlo con certezza, perché prima della pandemia la paziente non era mai stata testata per questi anticorpi, non avendo mai manifestato sintomi della sindrome da anticorpi antifosfolipidi.
Sappiamo che gli anticorpi antifosfolipidi possono essere presenti in una piccola percentuale (1-5%) della popolazione sana. Quindi, è possibile che la nostra paziente avesse già l’anticoagulante lupico e che la vaccinazione abbia semplicemente “provocato” lo sviluppo dei geloni, anche in un clima tropicale. D’altronde, diverse segnalazioni hanno documentato la positività agli anticorpi antifosfolipidi in circa la metà dei pazienti con infezione da COVID-19, e questi anticorpi possono essere rilevati anche dopo la vaccinazione. La loro relazione, però, non è ancora del tutto chiara.
Una delle ipotesi per spiegare la produzione di anticorpi antifosfolipidi è il meccanismo del mimetismo molecolare: in pratica, alcune componenti del virus (o del vaccino, che ne mima una parte) potrebbero assomigliare a strutture del nostro stesso organismo, inducendo il sistema immunitario a produrre anticorpi che, per errore, attaccano anche i nostri tessuti. Inoltre, è stato suggerito che i vaccini a mRNA potrebbero attivare la cascata della coagulazione e interferire con l’interazione tra piastrine e cellule endoteliali (quelle che rivestono l’interno dei vasi sanguigni). Questa alterata interazione potrebbe contribuire a scatenare i geloni in pazienti con anticorpi antifosfolipidi preesistenti o di nuova insorgenza.
E la Terapia? Cosa Fare in Questi Casi?
Al momento, non esistono raccomandazioni terapeutiche specifiche per le lesioni simili a geloni associate alla vaccinazione COVID-19. Le casistiche riportate mostrano un approccio variabile: alcuni pazienti non ricevono alcun trattamento, altri smettono di fumare (il fumo è un fattore di rischio per problemi vascolari), altri ancora vengono trattati con farmaci antinfiammatori non steroidei (FANS) o glucocorticoidi. Nel caso della paziente thailandese, fortunatamente, le lesioni sono guarite spontaneamente.

Insomma, questo caso ci ricorda ancora una volta quanto sia complesso il nostro sistema immunitario e come possa reagire in modi inaspettati. Sebbene i geloni da vaccino siano più frequenti nei paesi temperati, questo report dalla Thailandia sottolinea che possono verificarsi anche in climi tropicali. La presenza dell’anticoagulante lupico potrebbe giocare un ruolo, ma sono necessari ulteriori studi, magari prospettici, per capire meglio il legame tra anticorpi antifosfolipidi e lo sviluppo di geloni dopo la vaccinazione anti-COVID-19.
È affascinante vedere come la ricerca continui a svelare nuovi aspetti di patologie note e delle reazioni ai nuovi interventi medici. Ogni caso come questo aggiunge un piccolo tassello al grande puzzle della medicina. E noi, da curiosi appassionati, non possiamo che continuare a seguire questi sviluppi con grande interesse!
Fonte: Springer
