Le Mille Facce dell’Alzheimer: Sveliamo i Segreti dell’Atrofia Cerebrale e dei Suoi Legami Patologici
Ciao a tutti! Quando pensiamo all’Alzheimer, la prima cosa che ci viene in mente è quasi sempre la perdita di memoria. Ma vi siete mai chiesti se questa malattia si presenti sempre allo stesso modo? La risposta è no. L’Alzheimer, infatti, è una condizione molto più eterogenea di quanto si possa immaginare, con diverse “facce” o, come le chiamiamo in gergo scientifico, fenotipi clinici. Oggi vi accompagno in un viaggio affascinante nel cervello umano per esplorare queste differenze, concentrandoci su come l’atrofia cerebrale (la riduzione del volume del cervello) si manifesti diversamente e quali siano i legami con i processi patologici sottostanti.
Non un solo Alzheimer, ma tanti: I Fenotipi Clinici
Esistono principalmente due grandi famiglie di fenotipi dell’Alzheimer:
- Il fenotipo tipico (amnestico): È quello più comune, caratterizzato principalmente da problemi di memoria fin dalle fasi iniziali.
- I fenotipi atipici (non-amnestici): Qui le cose si complicano un po’. In questi casi, i primi sintomi non riguardano la memoria, ma altre funzioni cognitive. Possiamo avere varianti:
- Comportamentale: con cambiamenti nel comportamento e nella personalità.
- Disecutiva: con difficoltà nella pianificazione, organizzazione e nel prendere decisioni.
- Visuospaziale: con problemi nel riconoscere oggetti, orientarsi nello spazio o nella coordinazione motoria.
- Logopenica: con difficoltà nel trovare le parole giuste durante una conversazione.
Capire queste differenze è fondamentale, non solo per una diagnosi più precisa, ma anche perché potrebbero rispondere diversamente ai trattamenti.
La Risonanza Magnetica: Una Finestra sul Cervello che Cambia
Come facciamo a “vedere” queste differenze nel cervello? Uno strumento potentissimo è la risonanza magnetica (MRI). Ci permette di misurare il volume delle diverse aree cerebrali e identificare i pattern di atrofia. Nel nostro studio, abbiamo utilizzato dati MRI post-mortem (e anche ante-mortem, quando disponibili) di persone con diagnosi di Alzheimer (sia tipico che atipico) e li abbiamo confrontati con cervelli di controllo sani.
Cosa abbiamo scoperto? Beh, come ci si poteva aspettare, entrambi i gruppi di pazienti con Alzheimer mostravano una riduzione di volume rispetto ai controlli, soprattutto nelle aree temporo-occipitali. L’Alzheimer tipico, però, mostrava un’atrofia aggiuntiva nel lobo parietale. Una differenza interessante è emersa nel cingolato posteriore: il suo volume era significativamente più basso nei pazienti con Alzheimer tipico rispetto a quelli con forme atipiche. Questa regione è un hub cruciale per la memoria e diverse reti cerebrali, quindi la sua maggiore sofferenza nel fenotipo tipico potrebbe spiegare in parte la predominanza dei disturbi di memoria.
Tuttavia, non abbiamo trovato quelle differenze nette nei pattern di atrofia che a volte vengono descritte in letteratura (ad esempio, atrofia frontale più marcata nelle forme atipiche). Una possibile spiegazione è che i cervelli che abbiamo analizzato appartenevano a persone in uno stadio avanzato della malattia, dove l’atrofia tende a diventare più diffusa, mascherando le differenze regionali iniziali.

Dentro il Tessuto Cerebrale: Alla Ricerca dei “Colpevoli” Patologici
Ma cosa causa questa atrofia? La teoria più accreditata punta il dito contro l’accumulo di proteine anomale: la beta-amiloide (Aβ), che forma le placche, e la proteina Tau fosforilata (pTau), che crea i grovigli neurofibrillari. Ma non sono le uniche protagoniste. Abbiamo voluto indagare anche il ruolo di altri due fattori importanti:
- La degenerazione neuro-assonale: Misurata attraverso i livelli di Neurofilamento a catena leggera (NfL), un marcatore del danno agli assoni, le “autostrade” delle nostre cellule nervose.
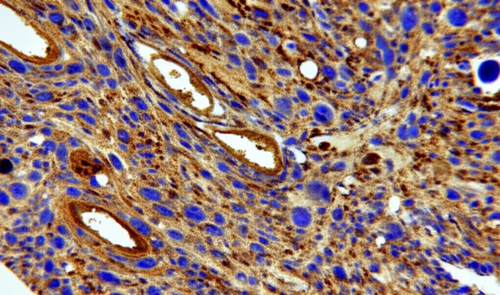
- Il deterioramento microvascolare: Valutato tramite il Collagene IV (COLIV), una componente chiave della parete dei piccoli vasi sanguigni nel cervello.
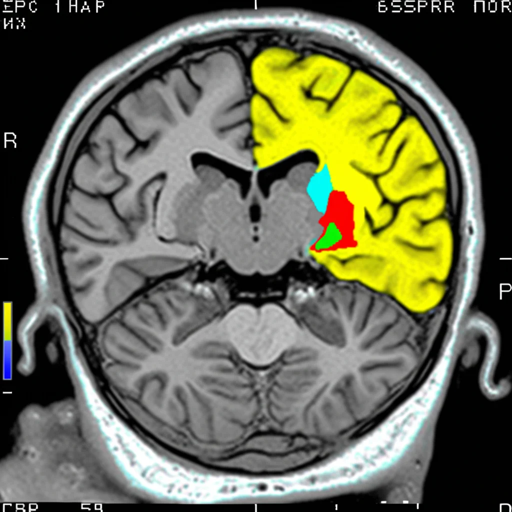
Analizzando campioni di tessuto cerebrale post-mortem (prelevati da 8 regioni specifiche, tra cui ippocampo, giro frontale medio, giro temporale medio, giro parietale superiore, corteccia cingolata posteriore, precuneo e corteccia occipitale), abbiamo quantificato la presenza di questi quattro marcatori.
Un dato sorprendente: i pazienti con Alzheimer atipico, pur avendo una durata di malattia più breve rispetto a quelli con forma tipica, mostravano un carico patologico globale (considerando tutti e quattro i marcatori) tendenzialmente superiore. Questo suggerisce che le forme atipiche potrebbero avere una progressione più aggressiva.
Il Legame Inaspettato: Atrofia e Patologia
Ed eccoci al cuore della questione: come si legano l’atrofia misurata con l’MRI e questi marcatori patologici? Qui le cose si fanno davvero interessanti e, per certi versi, controintuitive.
A livello globale (considerando tutte le regioni insieme), abbiamo trovato:
- Una associazione positiva tra volume cerebrale e carico di Aβ (beta-amiloide), specialmente nel gruppo con Alzheimer tipico. Sì, avete letto bene: più placche amiloidi, più volume! Questo va contro l’idea che l’amiloide causi direttamente atrofia. Una spiegazione potrebbe essere legata all’infiammazione: l’accumulo di Aβ potrebbe scatenare processi infiammatori che causano un “gonfiore” (edema) del tessuto, aumentando temporaneamente il volume, prima che la neurodegenerazione prenda il sopravvento. Le recenti terapie anti-amiloide, che riducono l’Aβ ma portano anche a una certa riduzione del volume cerebrale, sembrano supportare questa ipotesi.
- Una associazione negativa tra volume cerebrale e carico di NfL (danno assonale), soprattutto nel gruppo atipico. Questo è più intuitivo: più danno alle fibre nervose, minore è il volume del cervello.
Non abbiamo invece trovato associazioni significative a livello globale tra volume e pTau o COLIV. La mancanza di un legame forte con pTau è un po’ sorprendente, dato che altri studi (spesso basati su PET Tau) lo trovano. Potrebbe dipendere dal fatto che non abbiamo distinto tra i diversi tipi di aggregati di Tau o dagli anticorpi specifici utilizzati.

Differenze Regionali tra Fenotipi
Le differenze più intriganti emergono quando guardiamo le associazioni a livello regionale, specifiche per ciascun fenotipo:
- Nel fenotipo tipico (amnestico):
- Un volume maggiore del giro parietale superiore era associato a un carico maggiore di Aβ.
- Un volume minore dell’ippocampo (area cruciale per la memoria) era associato a un carico maggiore di COLIV (marcatore vascolare). Esaminando più da vicino, sembrava esserci un aumento della densità dei vasi sanguigni nell’ippocampo di questi pazienti, forse una risposta compensatoria (angiogenesi) alla sofferenza tissutale o all’infiammazione.
- Nel fenotipo atipico (non-amnestico):
- Un volume minore del giro frontale medio era associato a un carico maggiore di NfL (danno assonale). Questo suggerisce una vulnerabilità specifica di questa regione frontale al danno assonale nelle forme atipiche.
Questi risultati indicano che, sebbene Aβ e NfL influenzino il volume cerebrale in entrambi i fenotipi (ma in direzioni opposte!), le relazioni specifiche tra atrofia e patologia variano a seconda della regione cerebrale e del tipo clinico di Alzheimer.
Dalla Ricerca alla Clinica: L’Importanza degli Studi Post-Mortem
Qualcuno potrebbe chiedersi: “Ma che senso ha studiare cervelli post-mortem se vogliamo capire cosa succede nei pazienti vivi?”. Ottima domanda! Abbiamo confrontato le misurazioni del volume ottenute dalle MRI post-mortem con quelle delle MRI effettuate sugli stessi pazienti quando erano ancora in vita (ante-mortem). Abbiamo visto che, se l’intervallo di tempo tra le due scansioni era inferiore ai 2 anni, le differenze di volume erano minime (inferiori al 10% nella maggior parte dei casi). Questo è importantissimo: significa che i risultati ottenuti studiando i cervelli post-mortem con tecniche avanzate (come l’immunoistochimica che ci permette di vedere le proteine specifiche) possono essere ragionevolmente “tradotti” e applicati per interpretare meglio le immagini MRI dei pazienti in clinica. Ovviamente, a intervalli di tempo maggiori, le differenze aumentavano, soprattutto nell’ippocampo e nel giro parietale superiore, mostrando le aree più colpite dalla progressione della malattia.

Cosa Ci Portiamo a Casa?
Questo studio ci ricorda ancora una volta quanto sia complessa la malattia di Alzheimer. Non esiste una sola forma, ma diversi fenotipi clinici. L’atrofia cerebrale misurata con la MRI è un marcatore utile, ma la sua interpretazione non è semplice. Abbiamo visto che è influenzata principalmente dall’accumulo di Aβ (in modo positivo, forse per via infiammatoria) e dal danno assonale (NfL, in modo negativo). Soprattutto, le relazioni tra atrofia e patologia possono variare in modo specifico a seconda della regione cerebrale e del fenotipo clinico.
Capire questi legami è cruciale per migliorare l’interpretazione delle immagini MRI nella pratica clinica e nella ricerca, specialmente quando si studiano coorti eterogenee di pazienti. È un altro passo avanti nel tentativo di decifrare i meccanismi di questa malattia devastante e, speriamo, di aprire la strada a diagnosi più precise e trattamenti più mirati per ogni “faccia” dell’Alzheimer.
Fonte: Springer
