Dengue e Cervello: Quando l’Infezione Simula un Ictus (Un Caso Incredibile!)
Ciao a tutti, appassionati di scienza e misteri del corpo umano! Oggi voglio parlarvi di una storia medica che ha dell’incredibile e che ci ricorda quanto possa essere subdola e sorprendente un’infezione come la Dengue. Siamo abituati a pensarla come una malattia tropicale che causa febbre alta, dolori muscolari lancinanti e, nei casi peggiori, emorragie. Ma cosa succede quando decide di giocare a nascondino proprio nel nostro cervello, mimando qualcosa di completamente diverso?
Un Inizio Ingannatore: Sintomi Neurologici e Sospetto Ictus
Immaginate la scena: un uomo di 38 anni, fino a quel momento sano come un pesce, si presenta al pronto soccorso. Non è un quadro chiaro. Ha una debolezza improvvisa al braccio sinistro e a entrambe le gambe, fa fatica a parlare (afasia) ed è confuso. Nei tre giorni precedenti, solo sintomi simili a un’influenza con febbre. Niente mal di testa forte, vomito o traumi recenti. All’esame, la forza muscolare è ridotta, lo stato mentale è alterato (punteggio GCS 11, quando il massimo è 15), ma per il resto sembra tutto abbastanza nella norma. Niente febbre al momento, niente eruzioni cutanee visibili.
I primi esami del sangue non mostrano nulla di particolarmente allarmante, a parte un numero di linfociti un po’ basso e un livello di lattato alto. La prima cosa che viene in mente ai medici, vista la sintomatologia neurologica acuta, è un ictus ischemico. Una TAC cerebrale mostra delle aree a bassa densità in zone specifiche del cervello (regione parafalcina frontale superiore bilaterale), che sembrano confermare il sospetto. Si inizia subito la terapia standard per l’ictus: aspirina e atorvastatina.
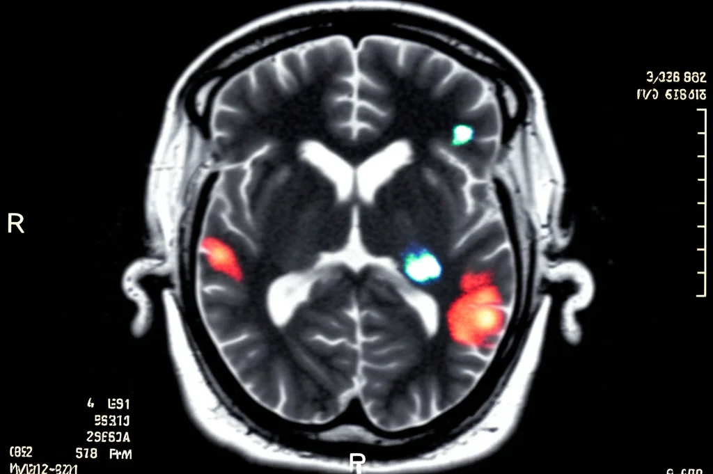
Il Colpo di Scena: La Risonanza Magnetica e il Peggioramento
Per vedere meglio, si procede con una Risonanza Magnetica (RM) cerebrale. E qui le cose si fanno ancora più strane. La RM conferma le lesioni, ma ne mostra anche altre, in particolare nei talami, due strutture profonde e centrali del cervello, su entrambi i lati (bilaterali). Queste aree mostrano una “restrizione della diffusione” (iperintense in DWI, ipointense in ADC), un segno tipico dell’ictus ischemico molto recente. Ci sono anche segni di piccoli sanguinamenti passati (depositi di emosiderina, visibili in SWI). La diagnosi sembra puntare verso un infarto nell’area dell’arteria cerebrale anteriore e forse dell’arteria di Percheron, un vaso che irrora proprio i talami.
Ma proprio quando la diagnosi sembra fatta, il paziente peggiora. Inizia ad avere feci molto scure, segno di un’emorragia gastrointestinale. Una colonscopia rivela un’infiammazione diffusa e sanguinamento nell’intestino. Nonostante le cure, le sue condizioni precipitano: tachicardia, febbre alta (39.2 °C), acidosi metabolica, il punteggio GCS scende a 9 (un livello preoccupante di alterazione della coscienza) e compare un’eruzione cutanea con macchie violacee (porpora). Gli esami del sangue ora mostrano un aumento notevole dell’ematocrito e dei globuli bianchi (neutrofili), mentre le piastrine, inizialmente normali, iniziano a calare.

La Diagnosi Corretta: È Dengue!
Questo peggioramento drammatico, con febbre, alterazione mentale e segni emorragici, fa scattare un campanello d’allarme. Si esegue una puntura lombare per analizzare il liquido cerebrospinale (CSF). I risultati non indicano una meningite batterica classica (pochi globuli bianchi), ma mostrano un aumento delle proteine e del lattato. Si avvia comunque una terapia antibiotica per sicurezza. I test per le cause più comuni di meningite/encefalite virale e batterica risultano negativi.
E poi, la svolta. Visto il quadro clinico e l’evoluzione, si pensa a febbri emorragiche. Si esegue un test specifico per la Dengue, la RT-PCR (Reverse Transcription Polymerase Chain Reaction) sul sangue. Risultato: positivo! Viene identificato anche il sierotipo, DENV2. Successivamente, anche il test degli anticorpi IgM per la Dengue risulta positivo. La diagnosi è ora chiara: si tratta di febbre emorragica da Dengue con encefalite.
Decifrare le Immagini Cerebrali: Ictus o Encefalite?
Ma come la mettiamo con quelle lesioni cerebrali che sembravano un ictus? Qui sta il punto affascinante e la sfida diagnostica. Le lesioni bilaterali nel talamo con restrizione della diffusione sono state descritte in altri rari casi di Dengue, ma la loro interpretazione è dibattuta. Sono veri infarti ischemici o sono qualcos’altro?
Nel nostro paziente, una RM di controllo eseguita 4 giorni dopo la prima mostrava che le lesioni erano ancora lì, con segnali simili. In un vero ictus ischemico, ci aspetteremmo una certa evoluzione, una “normalizzazione” del segnale DWI dopo alcuni giorni. Il fatto che ciò non sia avvenuto suggerisce un meccanismo diverso. Studi post-mortem su pazienti con quadri simili hanno mostrato aree di edema marcato (gonfiore), capillari dilatati e congesti, ed emorragie, piuttosto che aree di tessuto morto per mancanza di sangue (infarto ischemico classico).
Inoltre, le lesioni da Dengue spesso sono simmetriche e bilaterali, non sempre rispettano perfettamente i territori vascolari, e presentano frequentemente microemorragie (visibili in SWI), molto più di quanto si veda negli infarti classici. Quindi, quelle lesioni che inizialmente urlavano “ictus”, erano in realtà una manifestazione dell’encefalite da Dengue, probabilmente dovuta a infiammazione ed edema causati dal virus o dalla risposta immunitaria.

Implicazioni più Ampie: La Dengue Fuori dai Tropici
Le complicanze neurologiche della Dengue sono rare (si stima tra lo 0.5% e il 20% dei casi sintomatici), e l’encefalite vera e propria ancora di più (0.5-6.2%). I meccanismi possono essere diversi:
- Invasione diretta del virus nel sistema nervoso.
- Reazioni autoimmuni scatenate dall’infezione.
- Disturbi metabolici secondari all’infezione sistemica.
Un altro aspetto interessante di questo caso è dove si è verificato: in una regione geografica dove la Dengue è considerata estremamente rara. Questo ci porta a riflettere sull’impatto dei cambiamenti climatici. L’aumento delle temperature, le variazioni di umidità e precipitazioni stanno creando nuove aree idonee alla proliferazione delle zanzare Aedes aegypti, i vettori del virus. Abbiamo già visto focolai di Dengue in zone limitrofe legati a piogge eccessive. La Dengue sta diventando un’infezione emergente anche dove prima non c’era. Questo mette alla prova le capacità diagnostiche dei medici, che devono essere pronti a considerare questa malattia anche fuori dalle aree tradizionalmente endemiche.
Cosa Impariamo da Questo Caso?
Questo caso è un monito potentissimo. Ci insegna che:
- La Dengue può presentarsi con quadri clinici molto atipici, simulando altre condizioni gravi come l’ictus.
- Le lesioni bilaterali del talamo con restrizione della diffusione, anche se suggestive di infarto, devono far pensare anche all’encefalite da Dengue in un contesto clinico compatibile (febbre, alterazione mentale, possibile esposizione).
- La neuroradiologia (RM con sequenze specifiche come DWI, ADC, SWI, FLAIR) è fondamentale, ma l’interpretazione deve tenere conto del quadro clinico completo e della sua evoluzione.
- Dobbiamo essere consapevoli dell’espansione geografica della Dengue e includerla nelle diagnosi differenziali anche in aree considerate a basso rischio, specialmente se i pattern climatici stanno cambiando.
Il nostro paziente, dopo un lungo ricovero in terapia intensiva e poi in reparto, è gradualmente migliorato. Ha recuperato la forza nella parte superiore del corpo ed è diventato più reattivo e comunicativo. Purtroppo, al momento della dimissione per la riabilitazione, persisteva una significativa debolezza alle gambe. Una battaglia vinta, ma con delle cicatrici.
Questa storia sottolinea l’importanza di un approccio diagnostico aperto e meticoloso, capace di andare oltre le apparenze e di considerare anche le possibilità più rare, soprattutto quando ci troviamo di fronte a presentazioni cliniche e radiologiche complesse e in un contesto epidemiologico in continua evoluzione.
Fonte: Springer
