Il Mistero del Collo: Quando il Cancro si Nasconde (e si Rivela Neuroendocrino)
Ciao a tutti! Oggi voglio parlarvi di un caso medico che ha dell’incredibile, una di quelle storie che ti fanno capire quanto sia complesso e a volte misterioso il corpo umano, specialmente quando si parla di tumori. Immaginatevi di scoprire un nodulo sospetto nel collo, fare tutti gli esami del caso, e sentirvi dire che sì, è un cancro metastatico, ma… non si sa da dove venga. È quello che in gergo chiamiamo “metastasi da origine sconosciuta” (MUO – Metastasis of Unknown Origin), e quando questa metastasi si rivela essere un carcinoma neuroendocrino (NEC), la faccenda si fa ancora più rara e intrigante.
Un Gonfiore Silenzioso: L’Inizio del Viaggio
Tutto inizia con una paziente, una signora sui settant’anni, che si presenta dal medico per un gonfiore sul lato destro del collo. È lì da circa quattro mesi, cresce lentamente ma non le dà nessun dolore o altro sintomo particolare: niente difficoltà a respirare o deglutire, niente cambio di voce, tosse, febbre, sudorazioni notturne o perdita di peso. Un classico “campanello d’allarme silenzioso”.
L’esame clinico conferma la presenza di una massa dura e fissa nei linfonodi del collo (livello II), grande circa 6×5 cm. A questo punto, scatta la procedura standard per cercare il “tumore primario”, cioè il punto da cui queste cellule tumorali sono partite per colonizzare i linfonodi. Si fanno esami endoscopici approfonditi: laringoscopia, broncoscopia, gastroscopia… ma niente, nessun segno del colpevole.
La PET-CT e la Biopsia: Primi Indizi
Il passo successivo è una PET-CT total body, un esame sofisticatissimo che “accende” le aree del corpo dove c’è un’attività metabolica anomala, tipica dei tumori. E qui, sorpresa: l’unica area “accesa” (FDG avida, come diciamo noi tecnici) è proprio quella massa linfonodale nel collo, ora misurata in 6.1×5.2 cm, con un’attività metabolica molto alta (SUV max 31). La PET conferma anche che la massa è “abbracciata” a vasi sanguigni importanti (la vena giugulare interna non si vede bene, l’arteria carotide comune è avvolta per 180 gradi e l’arteria carotide interna per 90 gradi), ma non ci sono altri punti sospetti nel resto del corpo.
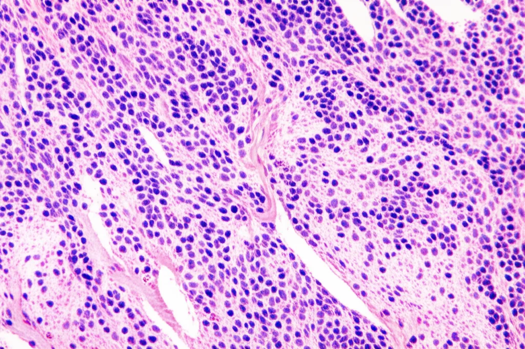
Il tumore primario resta un fantasma. Si procede allora con una biopsia della massa linfonodale. L’analisi al microscopio rivela cellule tumorali grandi, “brutte” (pleomorfe, con nucleoli evidenti), indicative di una neoplasia poco differenziata. Ma quali?
L’Immunochimica: La Chiave del Mistero
Qui entra in gioco l’immunochimica (IHC), una tecnica che usa anticorpi specifici per “colorare” determinate proteine presenti (o assenti) nelle cellule tumorali, aiutandoci a capire la loro origine e natura. È come dare un’identità precisa a queste cellule impazzite. I risultati sono illuminanti: le cellule sono positive per marcatori come AE1/AE3, EMA e, soprattutto, INSM1. Quest’ultimo è un marcatore abbastanza specifico per la differenziazione neuroendocrina. Altri marcatori (per linfomi, melanomi, carcinomi squamosi, ecc.) sono tutti negativi. Inoltre, l’indice di proliferazione Ki-67 è altissimo (88-90%), segno di un tumore molto aggressivo.
La diagnosi è fatta: Metastasi linfonodale di carcinoma con differenziazione neuroendocrina. Un evento rarissimo, specialmente senza un primario identificabile!

Una Strategia d’Attacco Multimodale
Di fronte a un caso così insolito e complesso, la decisione terapeutica non è semplice e richiede un consulto multidisciplinare. La massa è grande e “attaccata” ai vasi, rendendo un intervento chirurgico iniziale rischioso e forse non radicale (borderline unresectable). Però, sappiamo che i carcinomi neuroendocrini, specialmente quelli aggressivi come questo, rispondono spesso bene alla chemioterapia. Inoltre, iniziare con la chemio (terapia neoadiuvante – NACT) potrebbe ridurre il rischio che il tumore si diffonda ad altri organi a distanza.
Si decide quindi per un approccio sequenziale:
- Chemioterapia Neoadiuvante (NACT): 3 cicli di Etoposide e Carboplatino, farmaci noti per la loro efficacia contro i NEC.
- Rivalutazione: Dopo la NACT, una nuova PET-CT per vedere se il tumore si è ridotto e se l’intervento è diventato più fattibile.
- Chirurgia: Se la risposta è buona, si procede con l’asportazione chirurgica dei linfonodi del collo (svuotamento laterocervicale).
- Terapia Adiuvante: In base all’esame istologico post-operatorio, si valuta se aggiungere radioterapia e/o ulteriore chemioterapia per ridurre il rischio di recidiva.
La NACT funziona! La PET-CT di controllo mostra una netta riduzione delle dimensioni della massa (ora solo 1.4×1.8 cm) e, cosa fondamentale, non è più metabolicamente attiva (non capta FDG). Inoltre, si sono riformati i piani di clivaggio adiposo tra la massa residua e i grossi vasi, indicando che ora l’intervento è tecnicamente più sicuro.
La paziente viene quindi operata con successo (svuotamento laterocervicale destro di tipo III) e il decorso post-operatorio è regolare. L’analisi definitiva dei linfonodi asportati conferma la presenza di metastasi da carcinoma con differenziazione neuroendocrina in un solo linfonodo (su 49 esaminati), confermando la diagnosi iniziale e la buona risposta alla chemio. Data la presenza di questo linfonodo positivo, si decide di procedere con la chemioradioterapia adiuvante, per massimizzare le possibilità di cura.
Rarità e Sfide Diagnostico-Terapeutiche
Questo caso è emblematico per diversi motivi. Innanzitutto, le metastasi al collo da origine sconosciuta (MUO) rappresentano circa il 5-10% di tutti i tumori da origine sconosciuta (CUP). Solitamente, quando si trovano nei livelli superiori del collo, sono carcinomi a cellule squamose (spesso da tumori nascosti in gola, bocca, etc.), mentre quelle nei livelli inferiori (sovraclaveari) fanno pensare a tumori del torace o linfomi. Trovare un carcinoma neuroendocrino è davvero un’eccezione.
La letteratura scientifica riporta pochissimi casi simili. Già nel 1992, Eusebi e colleghi descrissero la differenziazione neuroendocrina in alcuni CUP, ipotizzando un’origine anomala da cellule staminali mesenchimali del sistema linforeticolare. Più recentemente, altri casi isolati sono stati pubblicati, ma siamo ben lontani dall’avere linee guida consolidate per il trattamento dei NEC della testa e del collo.
La prognosi per questi tumori, in generale, non è entusiasmante, ma l’approccio multimodale sembra offrire le migliori chance. L’uso della chemioterapia, come in questo caso, sia in fase neoadiuvante che adiuvante, sembra giocare un ruolo cruciale nel migliorare la resecabilità e forse nel controllare la diffusione a distanza.
Insomma, ci troviamo di fronte a un vero rompicapo oncologico. La rarità, la presentazione insolita, la varietà istologica e le possibili alterazioni molecolari rendono difficile stabilire protocolli standard. Ogni caso è una storia a sé, che richiede un’attenta valutazione diagnostica (l’IHC è fondamentale!) e una strategia terapeutica personalizzata, discussa collegialmente. Non bisogna mai sottovalutare la possibilità di una differenziazione neuroendocrina, anche quando la biopsia iniziale parla genericamente di “carcinoma poco differenziato”. È una sfida, ma anche un campo affascinante della ricerca oncologica!
Fonte: Springer
