Asma e Radiologia: Cosa Ci Svelano Davvero le Immagini del Torace? Uno Sguardo allo Studio TAAR
Ciao a tutti! Oggi voglio portarvi con me in un viaggio affascinante nel mondo della medicina respiratoria, esplorando un argomento che spesso diamo per scontato: cosa ci dice davvero una radiografia o una TAC del torace quando parliamo di asma? Sembra una domanda semplice, ma la risposta è più complessa e interessante di quanto si possa pensare. Mi sono imbattuto in uno studio recente, una sottoanalisi del Registro Turco sull’Asma dell’Adulto (TAAR), che cerca proprio di fare luce su questo aspetto. E credetemi, i risultati sono piuttosto rivelatori!
Perché “fotografare” i polmoni di un paziente asmatico?
Partiamo dalle basi. La diagnosi di asma si basa principalmente sulla storia clinica del paziente e sui test di funzionalità polmonare. Non ci si aspetta, di solito, di trovare chissà quali stravolgimenti nelle immagini radiologiche durante il normale follow-up. Eppure, vi sarete accorti che i medici richiedono spesso esami come radiografie (RX) o tomografie computerizzate (TAC) del torace anche per i pazienti asmatici. Perché?
Beh, i motivi sono diversi:
- Diagnosi differenziale: A volte i sintomi respiratori possono essere causati da altre patologie che mimano l’asma. L’imaging aiuta a escluderle.
- Comorbidità: L’asma può accompagnarsi ad altre malattie polmonari o condizioni (pensiamo alla rinosinusite cronica). Le immagini possono aiutare a identificarle.
- Valutare le conseguenze dell’asma: L’infiammazione cronica e l’ostruzione delle vie aeree tipiche dell’asma possono portare a cambiamenti strutturali nei polmoni (iperinflazione, ispessimento delle pareti bronchiali, ecc.) che, in alcuni casi, diventano visibili con l’imaging.
Insomma, anche se non è lo strumento diagnostico principale per l’asma in sé, la radiologia gioca un ruolo complementare importante. Ma quanto è diffuso questo utilizzo nella pratica quotidiana? E i reperti che si trovano sono collegati al tipo o alla gravità dell’asma? È qui che entra in gioco lo studio turco.
Lo Studio TAAR: Uno Sguardo Approfondito
Questo studio ha analizzato i dati raccolti tra il 2018 e il 2022 da ben 36 centri sanitari secondari e terziari in Turchia, coinvolgendo oltre 2000 pazienti adulti con asma. L’obiettivo era proprio capire quanto e come i medici utilizzassero l’imaging toracico (RX e TAC) e la TAC dei seni paranasali, e se ci fosse una correlazione tra i reperti patologici trovati e le caratteristiche della malattia, come il fenotipo (ad esempio, asma allergico o eosinofilico) e la gravità. Hanno considerato solo le immagini fatte quando i pazienti erano in fase stabile, non durante le riacutizzazioni.
Quanto Spesso si Usano le Immagini? E Chi Viene “Scannerizzato” di Più?
I risultati sono stati chiari: l’imaging è usato parecchio!
- La radiografia del torace (RX) è stata eseguita nella stragrande maggioranza dei casi: ben l’84,7% dei pazienti ne aveva una.
- La TAC del torace è stata utilizzata in quasi la metà dei pazienti (42,3%).
- La TAC dei seni paranasali, invece, è stata richiesta per circa un paziente su cinque (18,9%), spesso per indagare problemi associati come la rinosinusite.
Ma chi sono i pazienti che finiscono più spesso per fare questi esami? Lo studio ha evidenziato che la richiesta di RX e TAC toracica era più frequente in:
- Pazienti più anziani.
- Pazienti con valori di FEV1 (un indice di funzionalità polmonare) più bassi.
- Pazienti con eosinofilia (alti livelli di eosinofili nel sangue, un tipo di globuli bianchi spesso associato a infiammazione allergica o di tipo 2).
- Pazienti obesi.
- Pazienti con asma grave.
- Pazienti con rinosinusite cronica.
Interessante notare che la TAC toracica era meno frequente nei pazienti con rinite allergica, forse perché i sintomi allergici concomitanti rendevano la diagnosi di asma più “sicura”, riducendo la necessità di escludere altre cause.

Cosa si Vede nelle Immagini? I Reperti Più Comuni
Ok, ma una volta fatte queste immagini, cosa si trova di anomalo nei pazienti asmatici?
Reperti alla Radiografia del Torace (RX)
Circa il 30% dei pazienti mostrava reperti patologici alla RX. I più comuni erano:
- Aumento della trama broncovascolare (8,8%): Un’immagine che suggerisce un ispessimento o una maggiore evidenza dei bronchi e dei vasi sanguigni.
- Aspetto a “polmone sporco” (dirty lung) (8,1%): Un termine un po’ colloquiale per descrivere un’ombreggiatura diffusa e poco definita, spesso legata a infiammazione cronica delle piccole vie aeree.
- Aumentata trasparenza (7,4%): Può indicare iperinflazione, cioè che i polmoni trattengono più aria del normale, cosa comune nell’asma a causa dell’ostruzione bronchiale.
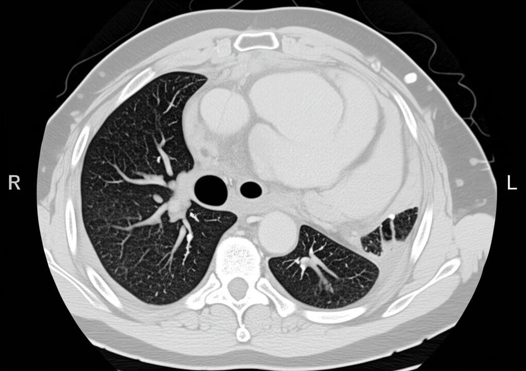
Reperti alla TAC del Torace
La TAC, essendo molto più dettagliata, ha rivelato anomalie in una percentuale maggiore di pazienti (64,4%). Qui i reperti più frequenti includevano:
- Noduli polmonari (26,8%): Piccole opacità rotondeggianti. Spesso sono benigni, ma richiedono attenzione.
- Bronchiectasie (16,9%): Dilatazioni permanenti e irreversibili dei bronchi.
- Atelettasie lineari (13,7%): Piccole aree di collasso polmonare, spesso a forma di striscia.
- Ispessimento delle pareti bronchiali (13,5%): Un segno diretto dell’infiammazione e del rimodellamento delle vie aeree tipico dell’asma.
- Opacità a vetro smerigliato (ground-glass) (12,8%): Aree sfumate che possono indicare infiammazione, infezione o altri processi a livello degli alveoli.
Reperti alla TAC dei Seni Paranasali
Qui le anomalie erano frequentissime, presenti nell’84,5% dei pazienti esaminati. Le più comuni:
- Presenza di tessuto molle nei seni (41,5%): Spesso indice di infiammazione cronica della mucosa (rinosinusite).
- Poliposi nasale (34,0%): Crescite benigne all’interno delle cavità nasali e dei seni, fortemente associate a certi tipi di asma.
Il Legame Cruciale: Reperti Radiologici, Fenotipi e Gravità dell’Asma
Ed eccoci al cuore della questione: questi reperti sono casuali o c’è un legame con il tipo specifico di asma del paziente? Lo studio TAAR suggerisce fortemente la seconda ipotesi. Hanno scoperto che i reperti patologici erano molto più comuni nei pazienti con:
- Fenotipo eosinofilico: Quei pazienti con alti livelli di eosinofili.
- Fenotipo allergico: Pazienti con allergie confermate correlate all’asma.
- Asma grave: Pazienti la cui malattia è difficile da controllare nonostante terapie massimali.
Vediamo qualche dettaglio in più:
- L’asma eosinofilico era significativamente associato a ispessimento delle pareti bronchiali e opacità a vetro smerigliato alla TAC toracica, e a poliposi nasale alla TAC dei seni. Sembra proprio che l’infiammazione eosinofilica lasci un’impronta visibile!
- L’asma allergico era più spesso collegato a aspetto a “polmone sporco” e aumentata trasparenza alla RX, e a atelettasie lineari e perfusione a mosaico (aree di diversa densità polmonare) alla TAC.
- L’asma grave mostrava più frequentemente aspetto a “polmone sporco” e consolidamento (aree di polmone più denso, come nella polmonite) alla RX, e atelettasie lineari, perfusione a mosaico, opacità a vetro smerigliato e consolidamento alla TAC. Questo suggerisce che la malattia più severa e persistente porta a cambiamenti strutturali più evidenti.

Inoltre, hanno notato che reperti come bronchiectasie e atelettasie lineari alla TAC erano più comuni nei pazienti più anziani, con asma da più tempo e con FEV1 più basso, suggerendo che il carico cronico della malattia possa portare a danni permanenti. E, come ci si poteva aspettare, la presenza di tessuto molle e polipi nei seni paranasali era fortemente legata alla coesistenza di rinosinusite cronica e alla sindrome NERD (malattia respiratoria esacerbata da FANS).
Cosa Ci Portiamo a Casa?
Questo studio turco, pur con qualche limitazione (come il fatto che molti pazienti provenissero da centri terziari, quindi potenzialmente con asma più grave, e la natura trasversale che non permette di stabilire nessi causa-effetto certi), ci offre spunti preziosi.
Ci conferma che l’imaging toracico e sinusale è uno strumento ampiamente utilizzato nella gestione dell’asma, non solo per escludere altre malattie ma anche per valutare le conseguenze dell’asma stesso.
Soprattutto, ci dice che i reperti radiologici non sono casuali, ma variano a seconda del fenotipo e della gravità dell’asma. L’asma eosinofilico, quello allergico e quello grave sembrano lasciare “firme” diverse sulle immagini radiologiche.
Questo sottolinea l’importanza di considerare una valutazione radiologica più approfondita, specialmente per i pazienti considerati ad alto rischio: quelli con asma grave, di lunga durata, con bassi valori di funzionalità polmonare o con fenotipo eosinofilico. Le immagini possono fornire informazioni aggiuntive preziose per comprendere meglio la malattia di quel singolo paziente e forse, in futuro, per personalizzare ancora di più il trattamento.

Insomma, la prossima volta che sentirete parlare di una RX o TAC in un paziente asmatico, ricordatevi che non è solo una “foto” di routine. Può essere una finestra importante sulle caratteristiche specifiche della sua malattia.
Fonte: Springer
