Fegato Grasso e Dintorni: Viaggio al Centro della Cellula Malata con la MASLD!
Amici scienziati e curiosi di ogni sorta, mettetevi comodi perché oggi vi porto in un viaggio affascinante, quasi da detective, all’interno delle nostre cellule epatiche quando qualcosa non va per il verso giusto. Parliamo di una condizione sempre più sulla bocca di tutti (e purtroppo, nei fegati di molti): la Malattia Steatosica Epatica Associata a Disfunzione Metabolica, o più amichevolmente MASLD. Un nome un po’ lungo, lo so, ma che descrive una realtà complessa e in crescita.
MASLD: Un Nemico Silenzioso ma Diffuso
Pensate che la vecchia “steatosi epatica non alcolica” (NAFLD) e la sua forma più arrabbiata, la “steatoepatite non alcolica” (NASH), sono state un po’ “rinfrescate” nel concetto di MASLD. Perché? Beh, perché la MASLD mette subito in chiaro il legame con i pasticci metabolici che il nostro corpo può combinare, come il diabete di tipo 2 o l’obesità. E la cosa bella è che per diagnosticarla non serve per forza bucare il fegato con una biopsia, il che la rende più facile da scovare anche per il medico di base. Questo ci aiuta a identificare prima chi rischia grosso, sia per problemi al fegato che per altre grane.
Il problema, però, è che non abbiamo ancora una bacchetta magica, una terapia farmacologica super efficace, perché i meccanismi con cui le cellule del fegato (gli epatociti, per gli amici) si danneggiano sono ancora un po’ un mistero. Certo, sappiamo che c’entrano lo stress ossidativo (immaginate le cellule che arrugginiscono!), problemi ai mitocondri (le nostre centrali energetiche cellulari), un accumulo di proteine fatte male nel reticolo endoplasmatico (la fabbrica di proteine della cellula) e un tilt nel sistema di “pulizia” cellulare chiamato autofagia. Ma come appaiono questi organelli quando sono “ammalati”? Ecco, qui entra in gioco la nostra indagine!
Dentro la Fabbrica: Gli Organelli Sotto la Lente
In questo studio, ci siamo messi proprio a guardare da vicino, vicinissimo, questi componenti cellulari. Come? Usando il potentissimo microscopio elettronico a trasmissione (TEM), che è un po’ come avere degli occhiali super-tecnologici per spiare dentro le cellule. Abbiamo preso campioni di fegato da topolini modello per la MASLD (poverini, ma il loro sacrificio aiuta la scienza!) e da pazienti umani con MASLD, confrontandoli con controlli sani.
Nei topolini, abbiamo visto che man mano che la MASLD peggiorava, i mitocondri, i granuli di glicogeno (la nostra riserva di zuccheri rapida) e il reticolo endoplasmatico rugoso (quello pieno di ribosomi, le macchinette che assemblano le proteine) mostravano delle anomalie sempre più evidenti. Forte di queste osservazioni, siamo andati a caccia di cose simili nei pazienti.
L’Indagine: Topi di Laboratorio e Pazienti Umani
Per i nostri amici roditori, abbiamo usato diete speciali per indurre la MASLD, come una dieta carente di colina e metionina ma ricca di grassi (la dieta CDAA), una dieta semplicemente ricca di grassi (HF-diet) o una dieta aterogenica e ricca di grassi (Ath + HF-diet). Questi modelli sono ben noti per mimare la MASLD umana.
Per quanto riguarda gli umani, abbiamo coinvolto 40 pazienti che si sono sottoposti a biopsia epatica tra il 2019 e il 2024, ovviamente dopo aver dato il loro consenso informato. Abbiamo analizzato i loro dati clinici, esami del sangue e, appunto, i campioni di fegato al microscopio ottico e al TEM.
La diagnosi di MASLD si basava sulla presenza di almeno il 5% di grasso nel fegato (visto con ecografia o altri metodi) e almeno una condizione tra: diabete di tipo 2, molteplici rischi metabolici (come pancia grossa, pressione alta, trigliceridi alle stelle, colesterolo HDL basso, prediabete, insulino-resistenza o proteina C-reattiva alta) oppure sovrappeso/obesità.

Le Prove Schiaccianti: Cosa Abbiamo Visto al Microscopio
Ebbene, le scoperte sono state illuminanti! Nei pazienti con MASLD, le anomalie degli organelli erano significativamente più frequenti e, cosa importantissima, correlate con i punteggi istopatologici che già usiamo per valutare la gravità della malattia (come il famoso NAS, NAFLD Activity Score). È come se avessimo trovato delle “impronte digitali” cellulari della MASLD!
Ma andiamo nel dettaglio:
Mitochondri Sotto Stress: Le Centrali Energetiche in Tilt
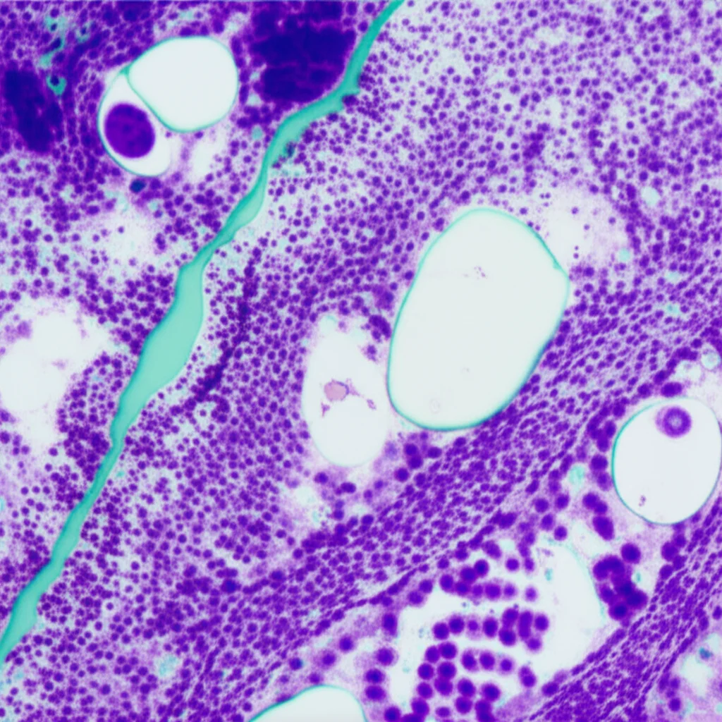
I mitocondri, normalmente a forma di fagiolo con delle creste interne ben definite, nei pazienti MASLD tendevano a diventare tondeggianti, con le creste interne rotte o addirittura andavano incontro a formazione di autofagosomi (una specie di “sacco della spazzatura” cellulare che li ingloba per eliminarli) o semplicemente diminuivano di numero. Immaginate le luci di una città che iniziano a sfarfallare e spegnersi una ad una: un bel problema energetico! Queste alterazioni erano molto più comuni e gravi nei pazienti con MASLD, specialmente in quelli con una forma più avanzata, la MASH (steatoepatite associata a disfunzione metabolica).
Granuli di Glicogeno: Riserve Energetiche in Fuga
Il glicogeno, che di solito riempie il citoplasma come una dispensa ben fornita, nei casi di MASLD tendeva a diminuire drasticamente, a volte fino a scomparire, lasciando degli spazi vuoti. È come se la cellula, in crisi energetica a causa dei mitocondri malfunzionanti, iniziasse a consumare tutte le sue scorte di emergenza. Questa deplezione era un segno distintivo, quasi assente nei non-MASLD e molto marcata nei pazienti MASLD, soprattutto nei casi di MASH.
Reticolo Endoplasmatico Rugoso (RER): La Fabbrica Proteica in Crisi
Il RER, che dovrebbe avere una struttura ordinata a strati paralleli, nei pazienti MASLD mostrava spesso un lume aperto e deformazioni ondulate, oppure appariva estremamente ridotto o addirittura cambiava forma, diventando sferico. Questo indica uno “stress del reticolo endoplasmatico”, un segnale che la produzione e il ripiegamento delle proteine sono andati in tilt. Anche se presente in alcuni non-MASLD, questa anomalia era più frequente e severa nei pazienti con MASLD, in particolare con MASH.
Abbiamo notato che le anomalie dei mitocondri correlavano fortemente con la steatosi (accumulo di grasso), l’infiammazione e il “ballooning” cellulare (le cellule che si gonfiano come palloncini). Lo stesso valeva, e in modo ancora più forte, per le alterazioni dei granuli di glicogeno. Anche le anomalie del RER mostravano una correlazione significativa con questi parametri di danno. In pratica, più questi organelli erano “scombinati”, peggiore era il quadro generale del fegato.

Un Puzzle Che Prende Forma: Le Implicazioni delle Scoperte
Cosa ci dice tutto questo? Che nella MASLD, a livello microscopico, succede un gran casino! Lo stress ossidativo probabilmente dà il via a una degenerazione dei mitocondri, che non riescono più a produrre energia come si deve. Questo porta a un esaurimento delle scorte di glicogeno e, contemporaneamente, a uno stress del reticolo endoplasmatico. È un circolo vizioso che danneggia le cellule del fegato.
Certo, il nostro studio ha dei limiti, come il numero di cellule osservate per campione o il fatto che la popolazione studiata avesse punteggi NAS non elevatissimi. Tuttavia, i nostri risultati dipingono un quadro chiaro delle caratteristiche della MASLD a livello ultrastrutturale.
Identificare queste specifiche “cicatrici” negli organelli (mitocondri deformi, glicogeno sparito, RER ingrossato e sformato) non è solo una curiosità da scienziati. Ci aiuta a capire meglio come avviene il danno al fegato nella MASLD. E capire i meccanismi è il primo, fondamentale passo per poter, un giorno, sviluppare terapie mirate ed efficaci.
Insomma, questo viaggio al centro della cellula ci ha mostrato che anche le parti più piccole di noi possono raccontare una grande storia sulla malattia. E noi siamo qui, pronti ad ascoltare e a continuare a indagare!
Fonte: Springer
